インビザライン治療 症例

40代女性「前歯のデコボコと前突感が気になる」マウスピース型矯正装置「インビザラインフル」で、非抜歯にて歯並びと噛み合わせを改善した症例

ご相談内容

「前歯のガタガタと口元が出ているところが気になる」とご相談いただきました。

カウンセリング・診断結果

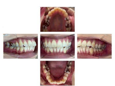
拝見すると、主に上下左右の前歯12本(中切歯/1番・側切歯/2番・犬歯/3番)が部分的に重なりあって生えており、歯並びがデコボコしている「叢生(そうせい)」でした。

また、上下左右の前歯や上下顎が出ている「上下顎前突(じょうげがくぜんとつ)」も見られました。
上下顎前突は、突き出している前歯が邪魔をして上手く口を閉じることができません。「口ゴボ」と呼ばれることもある状態です。

患者様は「歯を抜かずに治療したい」とご希望でした。

行ったご提案・治療内容

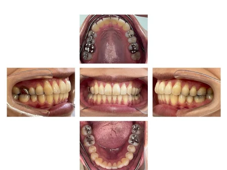
患者様のご希望に沿って、非抜歯で叢生と前突感を改善するために、お口全体の矯正に適しているマウスピース型矯正装置の「インビザラインフル」を使って、歯をしっかり後ろに移動させる治療方法を選択しました。

マウスピース矯正を行うにあたり、装置を十分な時間つける必要があること、歯磨きなどのセルフケアをしっかり行わないと虫歯や歯周病のリスクが高まることなどの注意点を丁寧にご説明し、ご理解いただきました。

術後の経過・現在のご様子

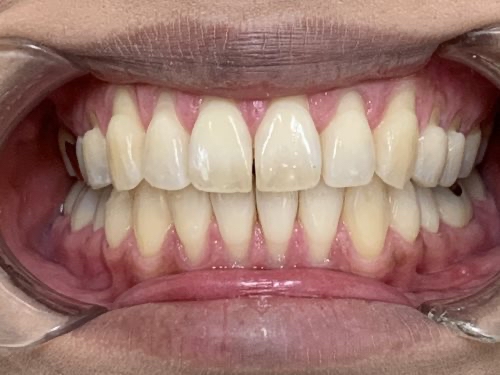
歯がきれいに並んで、前突感やデコボコがなくなり、見た目が改善しました。
患者様も「歯を抜かずにきれいな歯並びになって嬉しい。自然と笑顔が増えた」と非常にご満足いただいています。

現在は、健康で美しい状態を維持していくために、後戻り防止装置の「保定装置」を使用しながら、定期的にメンテナンスにお越しいただいています。

この治療のリスクについて

・決められたアライナーの装着時間を守らないと、次のアライナーに交換できず、治療が遅れたり十分な効果が得られない場合があります。
・歯を抜いた後に矯正する場合や、あごの骨格に問題がある場合など、マウスピース矯正に対応していない症例は、治療が困難な可能性もあります。
・治療による歯の移動に伴って、痛みや違和感を感じる場合があります。
・他の矯正治療と同様に、正しく歯磨きやメンテナンスを行わないと虫歯や歯周病のリスクが高まります。

  1. 年齢・性別40代女性
  2. 診療種別自由診療
    1. 治療期間の目安2年3ヵ月
      治療費総額の目安725,000円
    2. 【内訳】
    3. インビザラインフル 590,000円
    4. 検査代 30,000円
    5. 経過管理料 5,000円×15回
    6. 保定装置代 30,000円

※掲載された情報は治療の効果を保証するものではありません。
ご利用により万一何らかの損害が発生したとしても、当サイトは一切責任を負いかねますのでご了承ください。

PC・スマホでかんたんインターネット予約
三井アウトレットパークバス停徒歩5分 本院ご予約
高速出口すぐそばのショッピングモール内 大曲医院ご予約
札幌中心街、チカホから直結のmoyuk2F moyuk Sapporo院ご予約
オススメの関連記事