
50代男性「過去に途中で諦めたホワイトニングをもう1回やってみたい」歯科医院で行う「オフィスホワイトニング」と、ご自宅で行う「ホームホワイトニング」で清潔感のある口元に改善した症例


ご相談内容
「過去に結果が出ず、途中で断念したホワイトニングをもう1回やってみたい」とご相談いただきました。
カウンセリング・診断結果
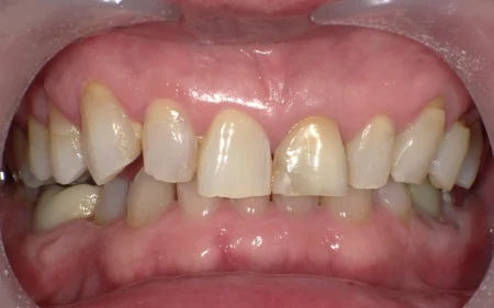
拝見したところ、全体的に歯の黄ばみが強く、歯を白くする「ホワイトニング」が必要な状態でした。
ホワイトニングをすることで口元に清潔感が出るだけではなく、歯や歯茎などの口の中への意識を高める相乗効果も期待できると診断しました。
また、患者様から「仕事柄、人と話す機会が多く、特に娘が生まれてからは口元に清潔感がある方がいいと思うようになった」といったご経緯があったこともお伺いしました。
行ったご提案・治療内容
歯科医院で行う「オフィスホワイトニング」と、ご自宅で行う「ホームホワイトニング」の併用をご提案しました。
2種類のホワイトニングを併用することでより早く効果が実感できて、白さも長持ちすることをご説明し、同意いただきました。
また、ホワイトニングの治療前に歯の色見本をご覧いただきながら目標の白さを決定し、ホワイトニング時の注意事項や、ホームホワイトニングのご自宅での取り扱い方法などについてもお伝えしました。
術後の経過・現在のご様子
口元に清潔感が生まれて、笑顔がさらに魅力的になりました。
患者様からは「白くなった!鏡を見る回数が増えて、これからも歯をきれいに保ちたいと思うようになった」と大変満足していただけました。
この治療のリスクについて
個人差がありますが、治療中や治療後に歯がしみる場合があります。
- 年齢・性別50代男性
- 診療種別自由診療
- 治療期間の目安2ヶ月
- 《内訳》
- デュアルホワイトニング 98,000円
- 治療期間の目安2ヶ月
※掲載された情報は治療の効果を保証するものではありません。
ご利用により万一何らかの損害が発生したとしても、当サイトは一切責任を負いかねますのでご了承ください。








