
30代女性「ガタガタの前歯と口元の突出感が気になる」マウスピース型矯正装置「インビザラインフル」を使い、非抜歯で歯並びと噛み合わせを改善した症例


ご相談内容
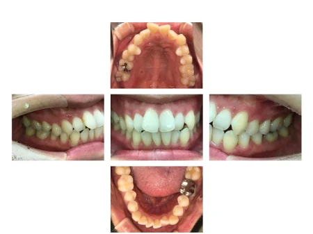
「ガタガタの前歯と、口元の突出感が気になる」と、ご相談いただきました。
カウンセリング・診断結果
拝見すると、上下左右の前歯12本(中切歯/1番・側切歯/2番・犬歯/3番)がでこぼこに生えている「叢生(そうせい)」でした。
叢生の状態は見た目が悪いだけでなく、歯磨きがしづらいため磨き残しが出やすく、虫歯や歯周病にかかるリスクが高まります。
患者様は「なるべく歯を抜きたくない」とご希望でした。
行ったご提案・治療内容
患者様のご希望に沿い、非抜歯で可能な限り叢生と前歯の前突感を改善するために、奥歯を含めた歯並び全体の矯正治療に適しているマウスピース型矯正装置「インビザラインフル」を選択しました。
歯の後方移動をしっかり行うことで、前歯の突出感の改善に努めました。
術後の経過・現在のご様子
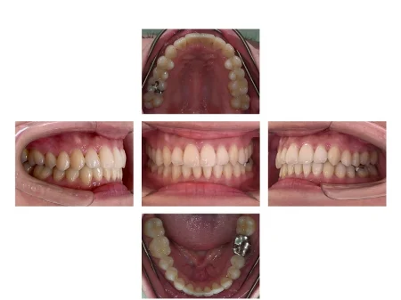
歯並びがきれいに整い、見た目と噛み合わせが改善しました。
患者様も「きれいになって嬉しい」と非常にご満足されており、笑顔も増えているご様子です。
現在は、後戻り防止装置の「リテーナー」を使用しながら、きれいな状態を維持するために定期的にご通院いただいています。
この治療のリスクについて
・決められたアライナーの装着時間を守らないと、次のアライナーに交換できず、治療が遅れたり十分な効果が得られない場合があります。
・歯を抜いた後に矯正する場合や、あごの骨格に問題がある場合など、マウスピース矯正に対応していない症例は、治療が困難な可能性もあります。
・治療による歯の移動に伴って、痛みや違和感を感じる場合があります。
・他の矯正治療と同様に、正しく歯磨きやメンテナンスを行わないと虫歯や歯周病のリスクが高まります。
- 年齢・性別30代女性
- 診療種別自由診療
- 治療期間の目安2年3ヵ月
治療費総額の目安705,000円 - 【内訳】
- インビザラインフル 590,000円
- 検査代 30,000円
- 経過管理料 5,000円×11回
- 保定装置代 30,000円
- 治療期間の目安2年3ヵ月


※掲載された情報は治療の効果を保証するものではありません。
ご利用により万一何らかの損害が発生したとしても、当サイトは一切責任を負いかねますのでご了承ください。








