
20代女性「ガタガタの歯並びが気になり、笑う時に歯を見せられない」抜歯してスペースを確保し、マウスピース矯正装置「インビザラインフル」で歯並びを改善した症例


ご相談内容
「ガタガタの歯並びが気になる。笑う時に歯を見せられないので、歯並びをきれいに治したい」とご相談いただきました。
カウンセリング・診断結果
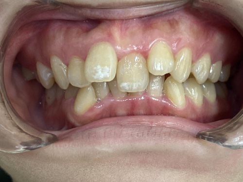
拝見したところ、歯が重なり合ってガタガタしている重度の「叢生(そうせい)」でした。
とくに上の前歯(中切歯/1番)2本は、歯が生えている角度の差が大きくて段差のようになっており、歯のガタガタが強調されて目立っていました。
また、全体的に歯が重なっているところが多いため、歯をきれいに並べるためには抜歯を行い、歯列に十分なスペースを確保する必要があると診断しました。
行ったご提案・治療内容
歯を並べるスペースを確保するために、右上奥歯(第2小臼歯/5番)と左上奥歯(第1小臼歯/4番)、右下奥歯(第1小臼歯)の抜歯を行いました。
抜歯後は、歯を抜いたことで得られたスペースに歯をきれいに並べるため、取り外し式のマウスピース矯正装置「インビザラインフル」をご提案し、ご了承いただきました。
治療中は、ガタガタの歯並びを本来の正しい位置へ整えていくことはもちろん、治療後に問題なく噛めるように、噛み合わせもしっかり作っていくことを重要視して治療を進めていきました。
術後の経過・現在のご様子
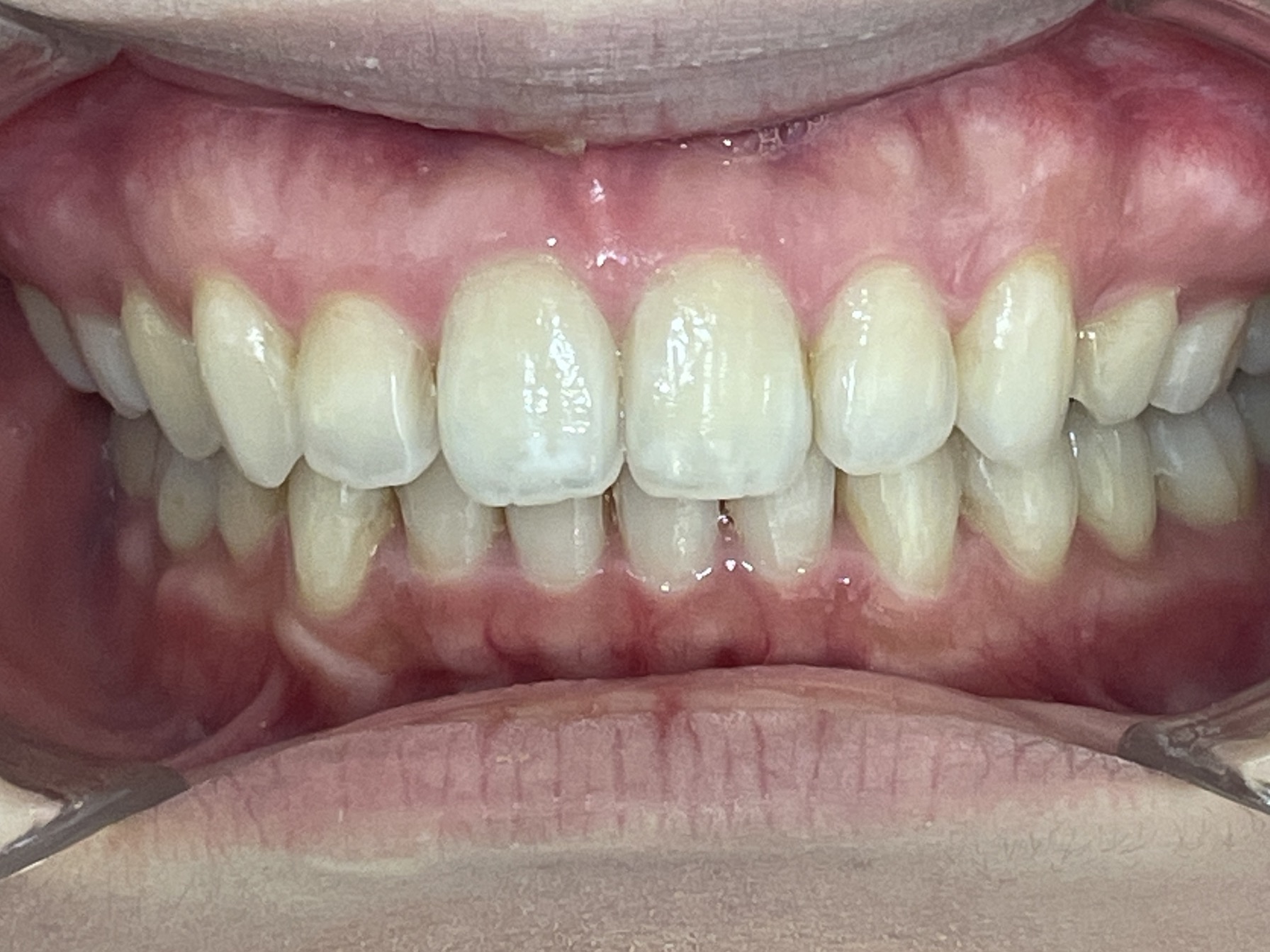
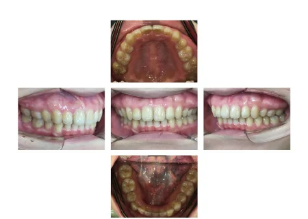
歯がきれいに並び、噛み合わせの状態も安定してしっかり噛めています。
患者様にも「口元を気にせず笑えるようになった。歯並びがきれいになったことで、見た目にも自信が持てるようになりファッションも楽しめるようになった」と大変ご満足いただけました。
現在は、歯並びの後戻りを防ぐための「保定装置」をご使用いただき、定期的に経過を確認しています。
この治療のリスクについて
・決められたアライナーの装着時間を守らないと、次のアライナーに交換できず、治療が遅れたり十分な効果が得られない場合があります。
・歯を抜いた後に矯正する場合や、あごの骨格に問題がある場合など、マウスピース矯正に対応していない症例は、治療が困難な可能性もあります。
・治療による歯の移動に伴って、痛みや違和感を感じる場合があります。
・他の矯正治療と同様に、正しく歯磨きやメンテナンスを行わないと虫歯や歯周病のリスクが高まります。
- 年齢・性別20代女性
- 診療種別自由診療
- 治療期間の目安1年7ヵ月
治療費総額の目安715,000円 - 【内訳】
- インビザラインフル:580,000円
- 検査代:30,000円
- 経過管理料:5,000×12回
- 抜歯:5,000×3本
- 保定装置代:30,000円
- 治療期間の目安1年7ヵ月


※掲載された情報は治療の効果を保証するものではありません。
ご利用により万一何らかの損害が発生したとしても、当サイトは一切責任を負いかねますのでご了承ください。








