
20代男性「磨いても黄色い歯を白くしたい」歯の黄ばみを、歯科医院で行う「オフィスホワイトニング」とご自宅で行う「ホームホワイトニング」を併用して輝く白さにした症例


ご相談内容
「歯を磨いても黄色いので白くしたい。ホワイトニングができる歯科医院を探して来院した」とご相談いただきました。
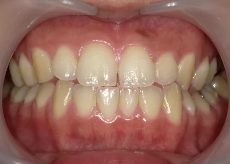
カウンセリング・診断結果
拝見したところ、全体的に歯の黄ばみが見られました。
患者様は「白くきれいな歯に憧れている。歯のクリーニングしか経験がないので、以前から気になっていたホワイトニングをやってみたい」とご希望でした。
行ったご提案・治療内容
歯科医院で薬液を使用して歯を白くする「オフィスホワイトニング」と、ご自宅で専用のマウスピースとジェルを使用して行う「ホームホワイトニング」の併用をご提案しました。
2種類のホワイトニングを併用することでより早く効果が実感でき、歯の白さも長持ちすることを丁寧にご説明し、同意いただきました。
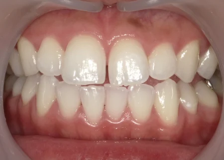
術後の経過・現在のご様子
全体の歯が輝く白さになり、口元の印象が明るくなりました。
患者様にも「仕事で人前で話すときも、自信を持てるようになりました」と大変お喜びいただきました。
歯の白さを長く維持するため、現在は定期的なメンテナンスでご来院いただいております。
この治療のリスクについて
個人差がありますが、治療中や治療後に歯がしみる場合があります。
- 年齢・性別20代男性
- 診療種別自由診療
- 治療期間の目安2ヶ月
- 《内訳》
- デュアルホワイトニング 98,000円
- 治療期間の目安2ヶ月
※掲載された情報は治療の効果を保証するものではありません。
ご利用により万一何らかの損害が発生したとしても、当サイトは一切責任を負いかねますのでご了承ください。








