
20代男性「歯の色が気になり鏡を見るたびに嫌な気持ちになる」黄ばみや汚れを「デュアルホワイトニング」で取り綺麗な白い歯になった症例


ご相談内容
「2~3年前から歯磨きで鏡を見ると前歯4本の色が気になるようになり、それから全体的な色も気になりはじめた。歯を見るたびに嫌な気持ちになるので白くしたい」とご相談をいただきました。
カウンセリング・診断結果
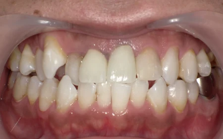
拝見したところ、お口全体に着色や汚れがついており、特に前歯は黄ばみが強く目立っていました。
上の前歯4本(中切歯/1番、側切歯/2番)は神経がなく、左上前歯1本(中切歯)は被せ物、他の3本は詰め物で治療してありましたが、劣化により変色していました。
着色や黄ばみの他にも、汚れが口臭の原因になっているなど、お口の環境が非常に悪くなっていました。
行ったご提案・治療内容
全体的な黄ばみを気にされていたため歯自体を白くする「ホワイトニング」をご提案しました。
ホワイトニングには、歯科医院で行う「オフィスホワイトニング」と自宅でご自身のペースで行う「ホームホワイトニング」、両方を併用する「デュアルホワイトニング」があることをお伝えし、一番白くなりホワイトニング効果が高いデュアルホワイトニングを選択されました。
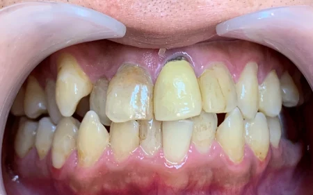
左上前歯は被せ物自体の変色だったため、周りの歯と色を合わせるために新たに作り直しました。
右上前歯(中切歯)は詰め物の劣化の範囲が広く変色していたため、被せ物で治療しました。
術後の経過・現在のご様子
全体的に黄ばみが取れ、患者様には「歯が白くなったので、マスクが外せる時期が来たら口元を気にせず見せられるので楽しみ」と仕上がりに非常にご満足いただけました。
着色や汚れもつきにくくなったため口臭も改善されました。
遠方に引越されるとのことでしたが、1ヶ月先のメンテナンスの予約を取っていただけました。
この治療のリスクについて
個人差がありますが、治療中や治療後に歯がしみる場合があります。
- 年齢・性別20代男性
- 診療種別自由診療
- 治療期間の目安2ヶ月
- 《内訳》
- デュアルホワイトニング 98,000円
- 治療期間の目安2ヶ月
※掲載された情報は治療の効果を保証するものではありません。
ご利用により万一何らかの損害が発生したとしても、当サイトは一切責任を負いかねますのでご了承ください。








