
10代女性「前歯が出ていて口が閉じにくい」歯が重なり合って並んでいる「叢生」と上の歯が前に出ている「上顎前突」を、マウスピース型矯正装置「インビザラインフル」で改善した症例


ご相談内容
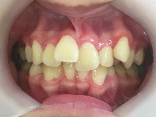
「前歯が出ているのが気になる。口も閉じにくい」とご相談いただきました。
カウンセリング・診断結果
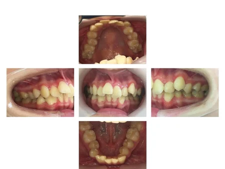
拝見したところ、歯並びの幅が狭くスペースが不足していることにより、全体的に歯が重なり合って並んでいる「叢生(そうせい)」でした。
また、上の歯並びが前方に出ている「上顎前突(じょうがくぜんとつ)」も見られ、唇が閉じにくく口呼吸が増えていました。
口呼吸で口の中が乾燥することにより細菌が増え、歯ぐきの炎症も起こっていました。
行ったご提案・治療内容
取り外し式のマウスピース型矯正装置「インビザラインフル」で、全体の歯を動かして叢生と上顎前突を改善する治療をご提案し、同意いただきました。
歯がきれいに並ぶよう、歯並びの幅をしっかり広げることを意識してマウスピースの設計を行い、治療を進めました。
術後の経過・現在のご様子
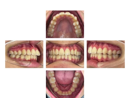
歯がまっすぐ並び、口が閉じやすくなったことで歯ぐきの炎症も改善しました。
患者様にも「歯並びを気にせず過ごせるようになり、笑顔が増えた」と大変お喜びいただきました。
現在は歯並びの後戻りを予防するための「保定装置」をご使用いただき、定期的な経過観察をしています。
この治療のリスクについて
・決められたアライナーの装着時間を守らないと、次のアライナーに交換できず、治療が遅れたり十分な効果が得られない場合があります。
・歯を抜いた後に矯正する場合や、あごの骨格に問題がある場合など、マウスピース矯正に対応していない症例は、治療が困難な可能性もあります。
・治療による歯の移動に伴って、痛みや違和感を感じる場合があります。
・他の矯正治療と同様に、正しく歯磨きやメンテナンスを行わないと虫歯や歯周病のリスクが高まります。
- 年齢・性別10代女性
- 診療種別自由診療
- 治療期間の目安2年4ヵ月
治療費総額の目安685,000円 - 【内訳】
- インビザラインフル 590,000円
- 検査代 30,000円
- 経過管理料 5,000円×7回
- 保定装置代 30,000円
- 治療期間の目安2年4ヵ月


※掲載された情報は治療の効果を保証するものではありません。
ご利用により万一何らかの損害が発生したとしても、当サイトは一切責任を負いかねますのでご了承ください。








