10代女性「親知らずを抜かずに前歯が出ているのを治したい」非抜歯でマウスピース型矯正装置「インビザラインフル」を使い、歯並びと噛み合わせを改善した症例


ご相談内容
「前歯が出ているのが気になる。親知らずは抜きたくない」と、ご相談いただきました。
カウンセリング・診断結果
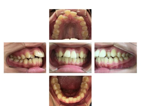
拝見すると、上の前歯や上あごが前方に出ている歯並び「上顎前突(じょうがくぜんとつ)」でした。
また、左右の上の前歯2本(側切歯/2番)が内側に入りこんでおり、下の歯との噛み合わせが逆になっている「クロスバイト」でした。
行ったご提案・治療内容
患者様のご希望に沿い、親知らずを抜かなくて済むよう、歯を後方に移動させずに歯並びを改善できる矯正計画を考えました。
また、クロスバイトを改善するために、前歯から奥歯までの歯並びの「歯列弓(しれつきゅう)」を拡大することができるマウスピース型矯正装置「インビザラインフル」を選択し治療しました。
術後の経過・現在のご様子
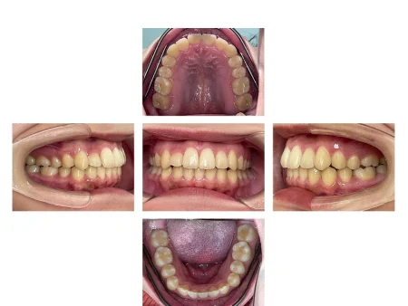
歯並びがきれいに整い、見た目と噛み合わせが改善しました。
患者様も「希望通りにきれいになって嬉しい」と笑顔でお話しいただき、非常にご満足されたご様子でした。
きれいで健康な状態を維持するために、現在は後戻り防止装置「リテーナー」を使用しながら、定期的にご通院いただいています。
この治療のリスクについて
・決められたアライナーの装着時間を守らないと、次のアライナーに交換できず、治療が遅れたり十分な効果が得られない場合があります。
・歯を抜いた後に矯正する場合や、あごの骨格に問題がある場合など、マウスピース矯正に対応していない症例は、治療が困難な可能性もあります。
・治療による歯の移動に伴って、痛みや違和感を感じる場合があります。
・他の矯正治療と同様に、正しく歯磨きやメンテナンスを行わないと虫歯や歯周病のリスクが高まります。
- 年齢・性別10代女性
- 診療種別自由診療
- 治療期間の目安2年
治療費総額の目安715,000円 - 【内訳】
- インビザラインフル 590,000円
- 検査代 30,000円
- 経過管理料 5,000円×13回
- 保定装置代 30,000円
- 治療期間の目安2年


※掲載された情報は治療の効果を保証するものではありません。
ご利用により万一何らかの損害が発生したとしても、当サイトは一切責任を負いかねますのでご了承ください。








