インビザライン治療 症例

20代女性「ガタガタの歯と深い噛み合わせが気になる」取り外し式のマウスピース型矯正装置「インビザラインフル」で歯並びを整え、正しい位置で噛めるようにした症例

ご相談内容

「ガタガタの歯並びと深い噛み合わせが気になる」とご相談いただきました。

カウンセリング・診断結果

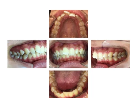
拝見したところ、歯並びの幅が狭くスペースが不足していることにより、歯がガタガタと並んでいる「叢生(そうせい)」でした。
特に上の前歯(右上中切歯/1番)は、ねじれて前方に突き出しており、見た目が気になりました。

また、上の歯が下の歯に覆い被さっている深い噛み合わせの「過蓋咬合(かがいこうごう)」も認められ、あごの関節に負担がかかりやすくなっていました。

行ったご提案・治療内容

歯並びの幅を広げてあごを正常な位置に修正し、歯のガタガタと噛み合わせを整える治療をご提案したところ、同意いただきました。

歯を動かす装置には、奥歯を含めた全体の歯を動かせる取り外し式のマウスピース型矯正装置「インビザラインフル」を選択しました。
噛み合わせが本来の正しい位置に戻るよう考慮してマウスピースの設計を行い、治療を進めました。

術後の経過・現在のご様子

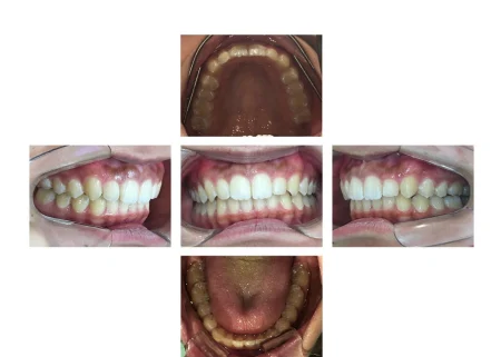
歯がまっすぐきれいに並び、噛み合わせも安定してしっかり噛めるようになりました。
患者様にも「口元が気にならなくなり嬉しい」と非常にご満足いただきました。
現在は歯並びの後戻りを予防するための「保定装置」をご使用いただき、経過を拝見しています。

この治療のリスクについて

・決められたアライナーの装着時間を守らないと、次のアライナーに交換できず、治療が遅れたり十分な効果が得られない場合があります。
・歯を抜いた後に矯正する場合や、あごの骨格に問題がある場合など、マウスピース矯正に対応していない症例は、治療が困難な可能性もあります。
・治療による歯の移動に伴って、痛みや違和感を感じる場合があります。
・他の矯正治療と同様に、正しく歯磨きやメンテナンスを行わないと虫歯や歯周病のリスクが高まります。

  1. 年齢・性別20代女性
  2. 診療種別自由診療
    1. 治療期間の目安1年8ヵ月
      治療費総額の目安700,000円
    2. 【内訳】
    3. インビザラインフル 590,000円
    4. 検査代 30,000円
    5. 経過管理料5,000円×10回
    6. 保定装置代 30,000円

※掲載された情報は治療の効果を保証するものではありません。
ご利用により万一何らかの損害が発生したとしても、当サイトは一切責任を負いかねますのでご了承ください。

PC・スマホでかんたんインターネット予約
三井アウトレットパークバス停徒歩5分 本院ご予約
高速出口すぐそばのショッピングモール内 大曲医院ご予約
札幌中心街、チカホから直結のmoyuk2F moyuk Sapporo院ご予約
オススメの関連記事