
40代男性「茶渋や黄ばみ、ヤニによる歯の変色が気になる」着色汚れを「デュアルホワイトニング」で白くし、古い被せ物を「セラミック」で被せ直して清潔感のあるお口に改善した症例


ご相談内容
「全体的な茶渋や黄ばみ、喫煙によるヤニが前から気になっていた。歯肉の黒いところも治したい」とご相談いただきました。
カウンセリング・診断結果
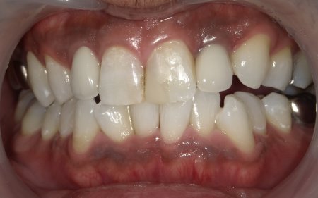
拝見すると、全体的に「歯石」の沈着があり、さらに着色などによる黄ばみが目立っていました。
また、左右の上の歯2本(側切歯/2番)は被せ物が入っていましたが、経年劣化により一部に欠けがあり、他の歯と色も合っておらず不自然でした。
さらに、被せ物のベースに使われている金属の色が歯肉に移り、黒く見えていました。
行ったご提案・治療内容
歯石除去などのクリーニングを行った後、ご自宅で行っていただく「ホームホワイトニング」とクリニックで行う「オフィスホワイトニング」を組み合わせた「デュアルホワイトニング」を行いました。
ホワイトニングでご自身の歯を白くした後、上の前歯の被せ物を新たに「セラミック」で作製しました。
セラミックは金属を使用しない「メタルフリー」のため、透明感の高い白さはもちろん、変色しにくく、歯肉に色が移るリスクがありません。
術後の経過・現在のご様子
全体的に白い歯に仕上がり、口元が明るく美しい印象に改善されました。
患者様にも「歯が白くなり、被せ物も交換できて、清潔感が出て嬉しい」と大変ご満足いただいています。
現在はきれいな状態を保つために、定期的にメインテナンスでご通院いただいています。
この治療のリスクについて
個人差がありますが、治療中や治療後に歯がしみる場合があります。
- 年齢・性別40代男性
- 診療種別自由診療
- 治療期間の目安2ヶ月
- 《内訳》
- デュアルホワイトニング 98,000円
- セラミック 97,500円×2本
- (クリーニングは保険診療内)
- 治療期間の目安2ヶ月
※掲載された情報は治療の効果を保証するものではありません。
ご利用により万一何らかの損害が発生したとしても、当サイトは一切責任を負いかねますのでご了承ください。








