インビザラインGO治療 症例

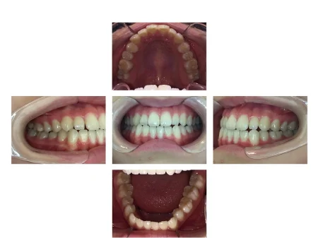
10代女性「前歯の噛み合わせが反対になっている」下の歯が部分的に上の歯に被さっている「クロスバイト」を、マウスピース矯正装置「インビザラインGO」で治療期間を抑えて改善した症例

ご相談内容

「横の前歯の噛み合わせが反対になっていて気になる」とご相談いただきました。

カウンセリング・診断結果

拝見したところ、下の歯が部分的に上の歯に被さっている「クロスバイト」で、右の上下の前歯(側切歯/2番、犬歯/3番)の噛み合わせが逆になっていました。

行ったご提案・治療内容

奥歯の歯並びは問題がなかったため、前歯だけを動かして歯並びを改善する治療をご提案しました。
前歯を部分的に動かすことで治療期間や費用を抑えられることをご説明し、同意いただきました。

歯並びを整えるための装置には、取り外し式のマウスピース矯正装置「インビザラインGO」を選択し、治療部位以外の噛み合わせがずれないよう慎重に歯を動かしました。

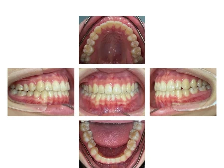
術後の経過・現在のご様子

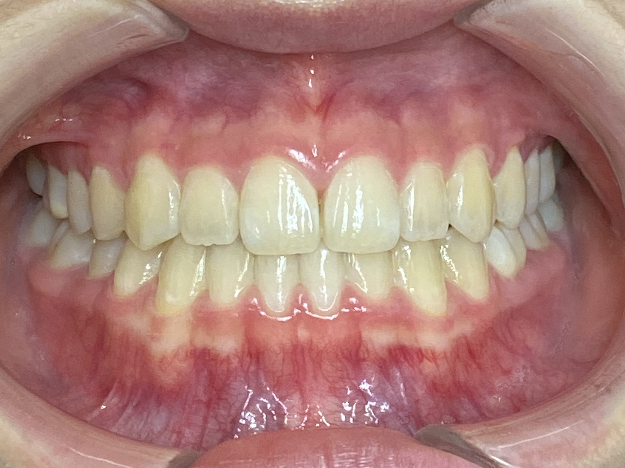
比較的短期間の治療で歯並びが整い、美しい口元になりました。
患者様にも「歯を気にせず笑えるようになった」と大変お喜びいただきました。
現在は定期的な検診でご来院いただいております。

この治療のリスクについて

・決められたスケジュールを守らないと十分な効果が得られない場合があります
・マウスピースに対応していない症例の場合、治療が困難な可能性もあります
・治療による歯の移動に伴って痛みや違和感がある場合があります
・他の矯正治療と同様に、正しい歯磨きやメンテナンスを行わないと虫歯や歯周病のリスクが高まります

  1. 年齢・性別10代女性
  2. 診療種別自由診療
    1. 治療期間の目安9か月

      治療費総額の目安420,000円
    2. 【内訳】
    3. インビザラインGO 400,000円
    4. 経過管理料5,000円×4回

※掲載された情報は治療の効果を保証するものではありません。
ご利用により万一何らかの損害が発生したとしても、当サイトは一切責任を負いかねますのでご了承ください。

PC・スマホでかんたんインターネット予約
三井アウトレットパークバス停徒歩5分 本院ご予約
高速出口すぐそばのショッピングモール内 大曲医院ご予約
札幌中心街、チカホから直結のmoyuk2F moyuk Sapporo院ご予約
オススメの関連記事