
30代女性「ガタガタした歯並びが気になる」マウスピース矯正「インビザラインフル」でスペースを広げてまっすぐきれいな歯並びに治した症例


ご相談内容
「ガタガタした歯並びが気になる」とご相談をいただきました。
患者様はもともと、拡大ネジを使って顎を徐々に広げていく取り外し可能な装置「床矯正」で矯正中でしたが、なかなか治らず治療期間が長期化し、「他の方法で早く歯並びをきれいにできないか」と当院にご来院されました。
カウンセリング・診断結果
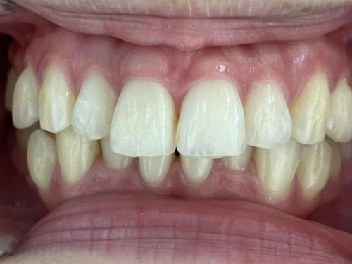
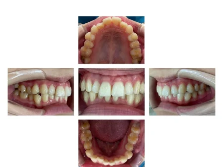
拝見すると、顎の大きさに比べて歯が並ぶスペースがないために、でこぼこした歯並びになる「叢生(そうせい)」と、歯が前に出ている「上顎前突」でした。
叢生や上顎前突で歯が重なっている部分は、歯ブラシの毛先が届きにくく、歯についた汚れや細菌が繁殖したかたまりの「歯垢」が上手く取れないため、歯茎が腫れて血が出やすい「歯肉炎」になっていました。
さらに、奥歯もねじれや傾きが見られ、歯磨きがしにくく、しっかりと噛めないことで噛み合わせの面に食べかすが残りやすい状態で、虫歯のリスクが高くなっていました。
行ったご提案・治療内容
透明で目立ちにくく、取り外し可能で食事や歯磨きが普段通りにできるマウスピース矯正「インビザラインフル」をご提案しました。
インビザラインフルは、スペースを広げて歯並びを整える治療方法であることをご説明し、ご希望されました。
また、奥歯でしっかり噛めるように歯の角度や向きを丁寧に調整しました。
術後の経過・現在のご様子
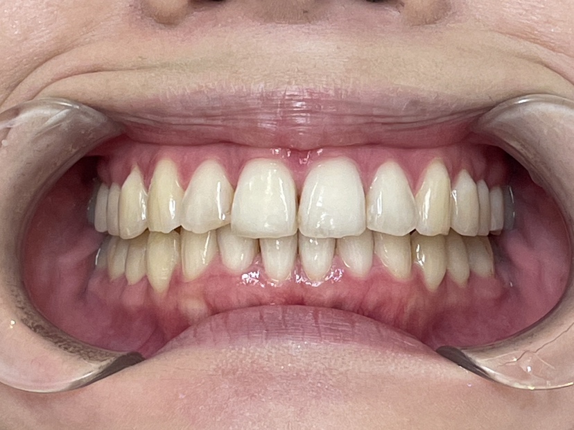
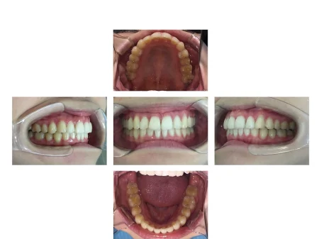
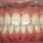
歯並びがきれいになり、まっすぐになった奥歯でしっかり噛めるようになりました。
歯磨きもしやすくなったため、歯肉炎が改善し、虫歯のリスクも下がりました。
患者様からも「ガタガタした歯並びがきれいになって嬉しい」と大変ご満足いただけました。
この治療のリスクについて
・決められたアライナーの装着時間を守らないと、次のアライナーに交換できず、治療が遅れたり十分な効果が得られない場合があります。
・歯を抜いた後に矯正する場合や、あごの骨格に問題がある場合など、マウスピース矯正に対応していない症例は、治療が困難な可能性もあります。
・治療による歯の移動に伴って、痛みや違和感を感じる場合があります。
・他の矯正治療と同様に、正しく歯磨きやメンテナンスを行わないと虫歯や歯周病のリスクが高まります。
- 年齢・性別30代女性
- 診療種別自由診療
- 治療期間の目安2年
治療費総額の目安690,000円 - <内訳>
- インビザラインフル 580,000円
- 検査代 30,000円
- 経過管理料5,000円×10回
- 保定装置代 30,000円
- 治療期間の目安2年


※掲載された情報は治療の効果を保証するものではありません。
ご利用により万一何らかの損害が発生したとしても、当サイトは一切責任を負いかねますのでご了承ください。








