
20代女性「前歯がガタガタしている」全体の歯を動かせるマウスピース矯正装置「インビザラインフル」で歯並びの幅を広げ、スペースを確保して歯並びを整えた症例


ご相談内容
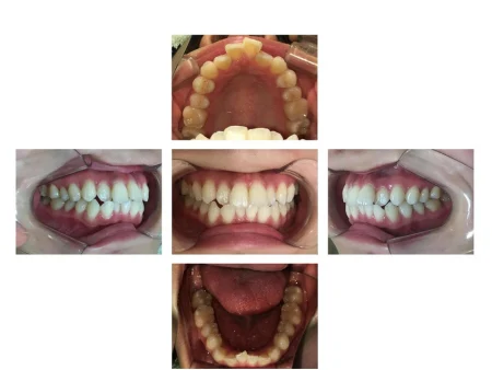
「前歯がガタガタしているのが気になる」とご相談いただきました。
カウンセリング・診断結果
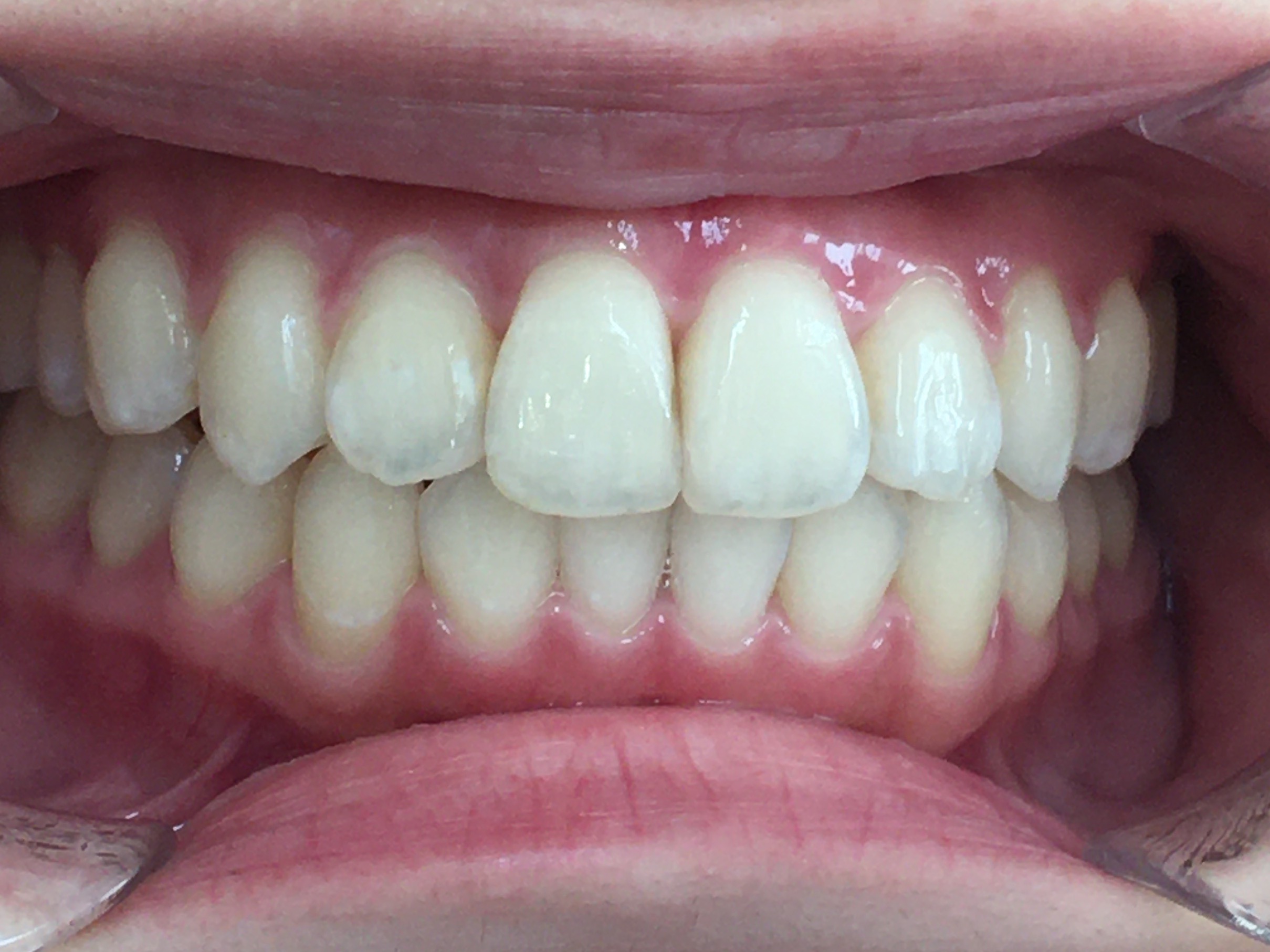
拝見したところ上下の前歯が並ぶためのスペースが不足しており、歯が正常な位置からずれたり、ねじれたりして生えている「叢生(そうせい)」でした。
歯並びがガタガタとしている部分は噛み合わせも悪く、虫歯や歯周病のリスクも高まっていました。
行ったご提案・治療内容
取り外し式のマウスピース矯正装置「インビザラインフル」で歯並びを改善する治療をご提案しました。
叢生の量が多かったため、全体の歯を動かせるインビザラインフルで歯並びの幅を広げ、スペースを確保してから前歯を整える必要があることをご説明し、同意いただきました。
歯並びの幅をしっかり広げられるよう、通常は1週間で交換するマウスピースを2週間ごとに変えていただき、治療の効果を高めました。
術後の経過・現在のご様子
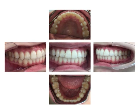
上下の前歯がきれいに並び、しっかり噛めるようになりました。
患者様にも「歯並びを気にせず過ごせるようになった」と大変ご満足いただきました。
現在は歯並びの後戻りを防止するための「保定装着」をご使用いただき、経過を拝見しています。
この治療のリスクについて
・決められたアライナーの装着時間を守らないと、次のアライナーに交換できず、治療が遅れたり十分な効果が得られない場合があります。
・歯を抜いた後に矯正する場合や、あごの骨格に問題がある場合など、マウスピース矯正に対応していない症例は、治療が困難な可能性もあります。
・治療による歯の移動に伴って、痛みや違和感を感じる場合があります。
・他の矯正治療と同様に、正しく歯磨きやメンテナンスを行わないと虫歯や歯周病のリスクが高まります。
- 年齢・性別20代女性
- 診療種別自由診療
- 治療期間の目安1年5か月
治療費総額の目安690,000円 - <内訳>
- インビザラインフル 580,000円
- 検査代 30,000円
- 経過管理料5,000円×10回
- 保定装置代 30,000円
- 治療期間の目安1年5か月


※掲載された情報は治療の効果を保証するものではありません。
ご利用により万一何らかの損害が発生したとしても、当サイトは一切責任を負いかねますのでご了承ください。








