
歯並びの違い(種類)について
皆様はご自身やお子さまの歯並びの種類(呼ばれ方)を知っていますか?
口ゴボやガタガタといった単語では知っているという方が多いかもしれませんね。
しかし歯並びの種類はそれだけではなくどのような歯並びかによって名称が変わります。
歯並びに悩まれている方に少しでも歯についての理解を深めていただけるように、
今回は歯並びの種類についてご紹介していきます。

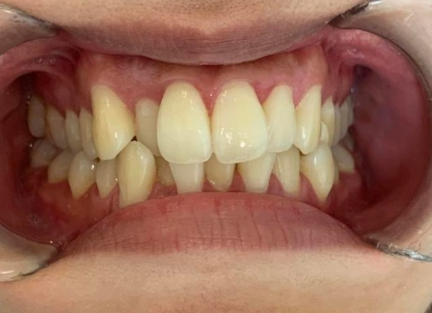
叢生(そうせい)
叢生とはいわゆるガタガタの歯並びのことで上下両方の歯に適応される呼び方です。
例えば下の前歯がガタガタでも叢生ですし、上の前歯がガタガタでも叢生と呼ばれます。

こちらの方は上下の歯、特に正面から見て左側の歯に叢生が強くでているのが分かるかと思います。
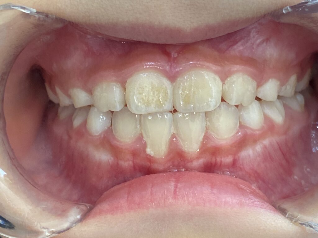
反対咬合(はんたいこうごう)
反対咬合は顎が前に出ている状態の歯並びを指します。

特にこちらのお子さんは反対咬合が強くでており下の歯が上の歯よりも前に出ているのが分かりますね。顎の発達が上手く進んでいないお子さまは反対咬合や切端咬合といった悪い歯並びのまま大人になってしまう可能性があるので、お口の中を観察して場合によっては歯医者さんに相談にいくことが大切です。

交叉咬合(こうさこうごう)
交叉咬合は歯と歯が交差してしまっている歯並びのことをさすのですが、
歯が交差する?と思われる方もいるかと思います。

こちらの方は正面から見て左の前歯から2番目の歯が後ろに下がり、下の歯と交差しています。このように上下の歯で部分的に交互になっている状態が交叉咬合です。
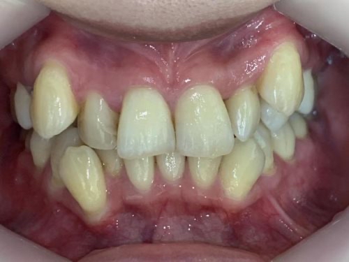
八重歯(やえば)
八重歯と聞くと「そんなに悪い歯並びなの?」と思われるとおもいますが八重歯は正式名称【低位唇側転位-ていいしんそくてんい-】と呼ばれる歯並びに分類されています。

このように歯列より下がった位置から生えているのが特徴です。
さいわいデンタルクリニックの矯正
当院ではインビザライン矯正を導入しています。インビザライン矯正は多くの歯並びに対応でき
さらにはマウスピースのため目立ちにくい特徴があります。
当院の歯並び相談では歯並びがどのように変わっていくのかシミュレーションを見ながらお話を進めることができるため、安心して矯正について考えていただくことができます。
歯並び相談は無料で承っておりますので、矯正に関するご不明な点や不安箇所などお気軽にお問い合わせください。








