
30代男性「歯並びが気になる」でこぼこに生えている歯をマウスピース矯正「インビザラインフル」で整え、歯を白くする「デュアルホワイトニング」も行って口元を明るくした症例


ご相談内容
「歯並びが気になる」とご相談いただきました。
カウンセリング・診断結果
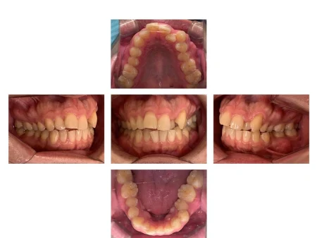
拝見したところ、上下とも歯が並ぶためのスペースが不足しており、全体的に歯がでこぼこに生えている重度の「叢生(そうせい)」で、噛み合わせも悪くなっていました。
見た目が気になるだけでなく虫歯や歯周病のリスクも高まっており、歯並びを整える治療が必要でした。
また、全体的に歯の黄ばみも見られ、口元が暗い印象でした。
行ったご提案・治療内容
取り外し式のマウスピース装置「インビザラインフル」で歯並びを改善する治療をご提案しました。
歯が前後に大きく重なっていたため、奥歯から動かせるインビザラインフルでの治療が適していることをご説明し、同意いただきました。
歯を動かす際は、歯並びの幅を拡大して全ての歯がしっかりと並ぶように治療計画を立てました。
また、歯の黄ばみに関しては、歯科医院で施術する「オフィスホワイトニング」と、ご自宅で行っていただく「ホームホワイトニング」を組み合わせた「デュアルホワイトニング」をご提案したところ、ご希望いただきました。
術後の経過・現在のご様子
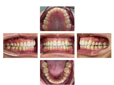
歯がまっすぐきれいに並び、しっかり噛めるようになりました。
歯の色も白くなって口元が明るくなり、患者様にも「見た目を気にせず笑えるようになった」と非常にご満足いただきました。
現在は、歯並びの後戻りを防ぐための「保定装置」をお使いいただき、経過を拝見しています。
この治療のリスクについて
・決められたアライナーの装着時間を守らないと、次のアライナーに交換できず、治療が遅れたり十分な効果が得られない場合があります。
・歯を抜いた後に矯正する場合や、あごの骨格に問題がある場合など、マウスピース矯正に対応していない症例は、治療が困難な可能性もあります。
・治療による歯の移動に伴って、痛みや違和感を感じる場合があります。
・他の矯正治療と同様に、正しく歯磨きやメンテナンスを行わないと虫歯や歯周病のリスクが高まります。
- 年齢・性別30代男性
- 診療種別自由診療
- 治療期間の目安2年3か月
治療費総額の目安813,000円 - <内訳>
- 【内訳】
- インビザラインフル 580,000円
- 検査代30,000円
- 経過管理料5,000円×15回
- 保定装置代 30,000円
- デュアルホワイトニング 98,000円
- 治療期間の目安2年3か月


※掲載された情報は治療の効果を保証するものではありません。
ご利用により万一何らかの損害が発生したとしても、当サイトは一切責任を負いかねますのでご了承ください。








