
20代女性「前歯のねじれが気になる」マウスピース型矯正装置「インビザラインフル」で歯並びを整え、見た目と噛み合わせを改善した症例


ご相談内容
「前歯がねじれているのが気になっている」とご相談いただきました。
カウンセリング・診断結果
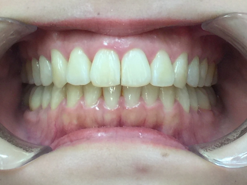
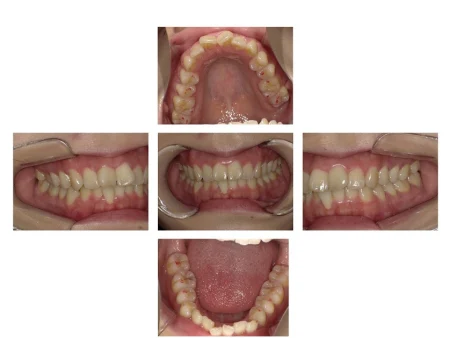
拝見すると、上の真ん中の前歯2本(中切歯/1番)で、歯がハの字になっている「翼状捻転(よくじょうねんてん)」が見られました。
さらに、上の前歯や上顎が前方に出ている、いわゆる出っ歯の「上顎前突(じょうがくぜんとつ)」でした。
これらを改善するために、奥歯から全体的にしっかりと歯を動かす必要がありました。
行ったご提案・治療内容
上下全体の矯正が必要な場合に適しているマウスピース型矯正装置「インビザラインフル」を選択し、治療しました。
マウスピース型矯正は、十分な時間装置を装着することで計画通りに歯を動かすことができます。歯磨きやお食事の時以外は、しっかりと装置を装着いただくよう事前にご説明し、ご理解いただきました。
治療後は一定期間、後戻り防止のために「保定装置」を使用していただく必要があることも併せてお伝えし、ご了承いただきました。
術後の経過・現在のご様子
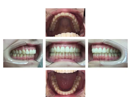
前歯を含めて全体的に真っ直ぐに歯が並び、見た目や噛み合わせが改善しました。
患者様も「きれいになって嬉しい」と非常にご満足いただいています。
現在は、この健康的な状態を維持するために、保定装置を使用していただきながら、定期的なメインテナンスに通っていただいています。
また、今後はホワイトニングを始めていく予定です。
この治療のリスクについて
・決められたアライナーの装着時間を守らないと、次のアライナーに交換できず、治療が遅れたり十分な効果が得られない場合があります。
・歯を抜いた後に矯正する場合や、あごの骨格に問題がある場合など、マウスピース矯正に対応していない症例は、治療が困難な可能性もあります。
・治療による歯の移動に伴って、痛みや違和感を感じる場合があります。
・他の矯正治療と同様に、正しく歯磨きやメンテナンスを行わないと虫歯や歯周病のリスクが高まります。
- 年齢・性別20代女性
- 診療種別自由診療
- 治療期間の目安5年
治療費総額の目安870,000円 - <内訳>
- インビザラインフル 680,000円
- 検査代 30,000円
- 経過管理料 5,000円×26回
- 保定装置代 30,000円
- 治療期間の目安5年


※掲載された情報は治療の効果を保証するものではありません。
ご利用により万一何らかの損害が発生したとしても、当サイトは一切責任を負いかねますのでご了承ください。








