インビザライン治療 症例

40代女性「横の前歯が後ろに入っているのが気になる」マウスピース型の矯正装置「インビザラインフル」を使用して、デコボコな歯並びを改善した症例

ご相談内容

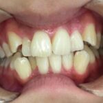
「横の前歯が後ろに入っているのが気になる」とご相談いただきました。

カウンセリング・診断結果

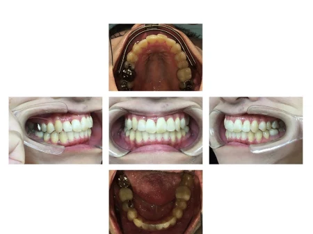
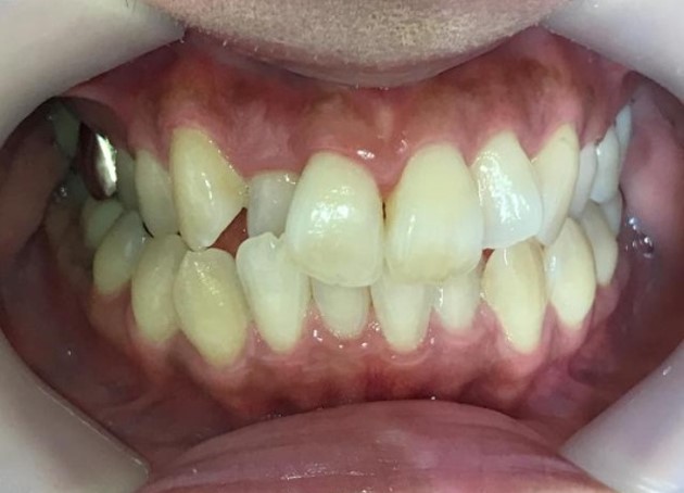
拝見したところ、右上の前歯(側切歯/2番)は、他の歯に比べて内側に向いて生えていました。
また内側を向いていることで、下の歯が上の歯より前で噛み合う「交叉咬合(こうさこうごう)」でした。
上下とも、歯が並ぶスペースが足りず、デコボコに並ぶ「叢生(そうせい)」も認められました。

行ったご提案・治療内容

歯をきれいに並べるためには、奥歯から動かして並べる必要があったため、マウスピース型の矯正装置「インビザラインフル」で治療を行いました。
大臼歯を含めた歯の並び全体を治療できるマウスピース矯正の方法で、幅広い歯並びに対応することができます。
内側に向いている前歯が、しっかり前へ出るように考えて治療を行いました。
また、歯並びを順調に改善させるため、マウスピースをしっかり装着して過ごしていただくようにご指導しました。

術後の経過・現在のご様子

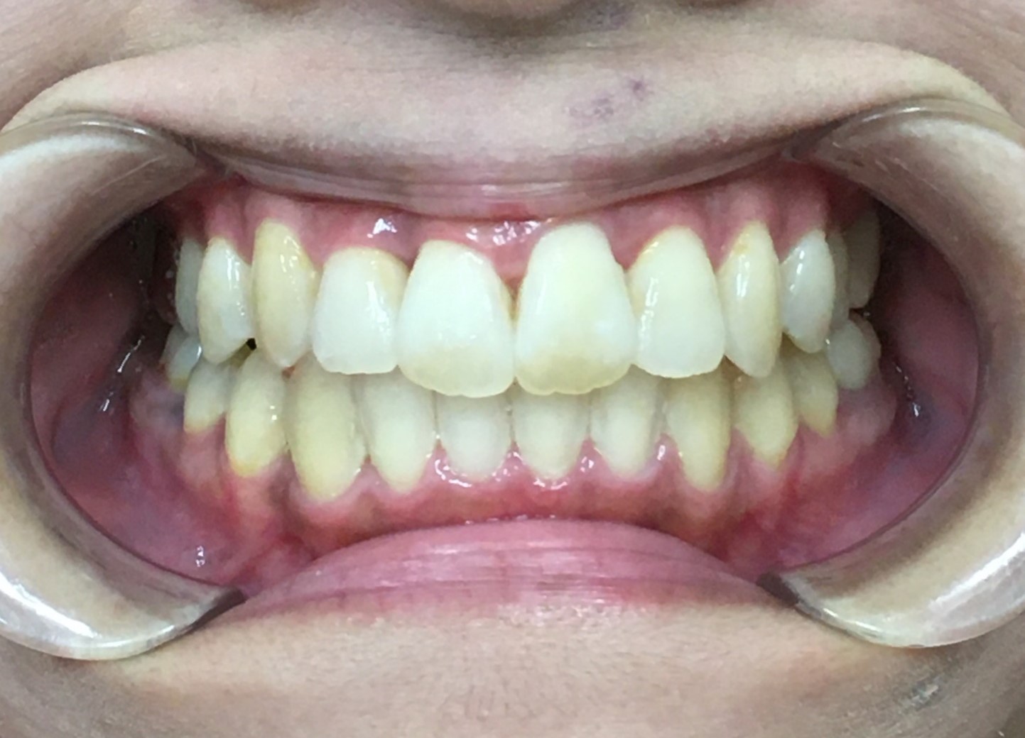
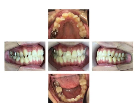
内側に生えていた歯はしっかりと前に出て、下の歯との噛み合わせも正常になりました。
上下の叢生も改善され、きれいな歯並びになりました。
患者様は「後ろに入った歯だけではなくて、デコボコな並びもきれいになってとても嬉しい」と、笑顔で大変ご満足いただきました。
現在は、経過観察をかねて、定期的にメンテナンスにてご来院されています。

この治療のリスクについて

・決められたアライナーの装着時間を守らないと、次のアライナーに交換できず、治療が遅れたり十分な効果が得られない場合があります。
・歯を抜いた後に矯正する場合や、あごの骨格に問題がある場合など、マウスピース矯正に対応していない症例は、治療が困難な可能性もあります。
・治療による歯の移動に伴って、痛みや違和感を感じる場合があります。
・他の矯正治療と同様に、正しく歯磨きやメンテナンスを行わないと虫歯や歯周病のリスクが高まります。

  1. 年齢・性別40代女性
  2. 診療種別自由診療
    1. 治療期間の目安1年未満

      治療費総額の目安665,000円
    2. <内訳>
    3. インビザラインフル 590,000円
    4. 検査代 30,000円
    5. 矯正経過管理料 45,000円(5,000円×9回)

※掲載された情報は治療の効果を保証するものではありません。
ご利用により万一何らかの損害が発生したとしても、当サイトは一切責任を負いかねますのでご了承ください。

PC・スマホでかんたんインターネット予約
三井アウトレットパークバス停徒歩5分 本院ご予約
高速出口すぐそばのショッピングモール内 大曲医院ご予約
札幌中心街、チカホから直結のmoyuk2F moyuk Sapporo院ご予約
オススメの関連記事