
30代女性「下唇が出ている気がする」マウスピース型矯正装置「インビザラインフル」で歯並びと噛み合わせを整え、「デュアルホワイトニング」で歯を白くし、笑顔を美しく改善した症例


ご相談内容
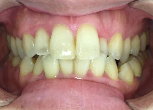
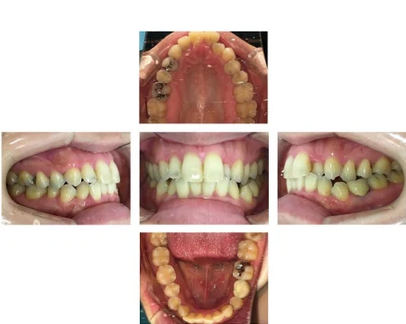
「下唇が出ている感じがする」とご相談いただきました。
カウンセリング・診断結果
拝見すると、噛み合わせた時に下の奥歯(第1大臼歯/6番)が、上の奥歯(第1大臼歯/6番)に対して前方に位置している「アングルの分類3級」でした。
また、左下奥歯(第2小臼歯/5番)が先天的に欠如しており、代わりに子供の歯(第2乳臼歯/E)が残存していました。
さらに、左上前歯(側切歯/2番)が下の歯よりも内側に入り込んで噛み合わせが逆になっている「クロスバイト」でした。
行ったご提案・治療内容
残存している左下の乳歯を動かしてしまうと、歯の根が吸収されて歯が揺れたり抜けたりするおそれがあります。
そこで、たくさん動かしたい歯と動かしたくない歯を選択しながら治療できるよう、マウスピース型矯正装置「インビザラインフル」を選択し治療を進めました。
ホワイトニングは、歯科医院で施術する「オフィスホワイトニング」と、ご自宅で行っていただく「ホームホワイトニング」を組み合わせた「デュアルホワイトニング」を行いました。
術後の経過・現在のご様子
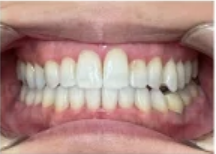
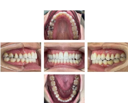
噛み合わせと歯並びが改善され、歯も白くなったことで、以前よりも笑顔が素敵になりました。
患者様も「自信を持って笑えるようになった」と非常にご満足いただいています。
現在は、素敵な笑顔を維持していくために、定期的なメインテナンスにご通院いただいています。
この治療のリスクについて
・決められたアライナーの装着時間を守らないと、次のアライナーに交換できず、治療が遅れたり十分な効果が得られない場合があります。
・歯を抜いた後に矯正する場合や、あごの骨格に問題がある場合など、マウスピース矯正に対応していない症例は、治療が困難な可能性もあります。
・治療による歯の移動に伴って、痛みや違和感を感じる場合があります。
・他の矯正治療と同様に、正しく歯磨きやメンテナンスを行わないと虫歯や歯周病のリスクが高まります。
- 年齢・性別30代女性
- 診療種別自由診療
- 治療期間の目安1年7ヶ月
治療費総額の目安803,000円 - <内訳>
- インビザライン治療費 650,000円
- 矯正経過管理料 5,000円×11回
- デュアルホワイトニング 98,000円
- 治療期間の目安1年7ヶ月


※掲載された情報は治療の効果を保証するものではありません。
ご利用により万一何らかの損害が発生したとしても、当サイトは一切責任を負いかねますのでご了承ください。








