
30代女性「噛んだときに上の前歯が欠けやすい」下の歯並びをマウスピース矯正装置「インビザラインGO」で改善し、噛み合わせを整えて修復した歯を欠けにくくした症例


ご相談内容
「治療した上の前歯が部分的に薄いので、下の歯と当たって欠けるのが心配」とご相談いただきました。
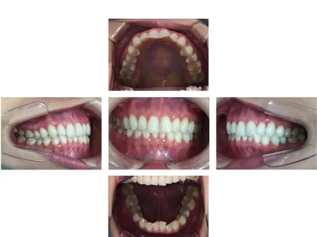
カウンセリング・診断結果
患者様は、下の前歯4本(右下側切歯/2番〜左下側切歯/2番)がねじれて生えている「叢生(そうせい)」でした。
もともと上の前歯もねじれており、プラスチックの材料で歯の形を修復する「ダイレクトボンディング」で見た目を改善していましたが、下の前歯の歯並びが悪いことにより修復するスペースが少なく、厚みが不十分で欠けやすくなっていました。
上の歯を欠けにくくするためには、下の前歯の歯並びを改善して噛み合わせたときのスペースを確保する必要がありました。
行ったご提案・治療内容
歯科矯正で下の前歯の歯並びを改善し、噛んだときのスペースを確保してから上の前歯に厚みをもたせて欠けにくくする治療をご提案したところ、同意いただきました。
歯並びを整えるための矯正装置には、部分的に歯並びを改善でき、費用と治療期間を抑えられる取り外し式のマウスピース装置「インビザラインGO」を選択しました。
今回は下の歯だけを矯正したため、噛んだときに上下の歯の噛み合わせが悪くならないように注意しながら進めました。
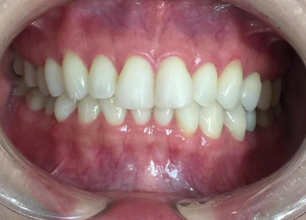
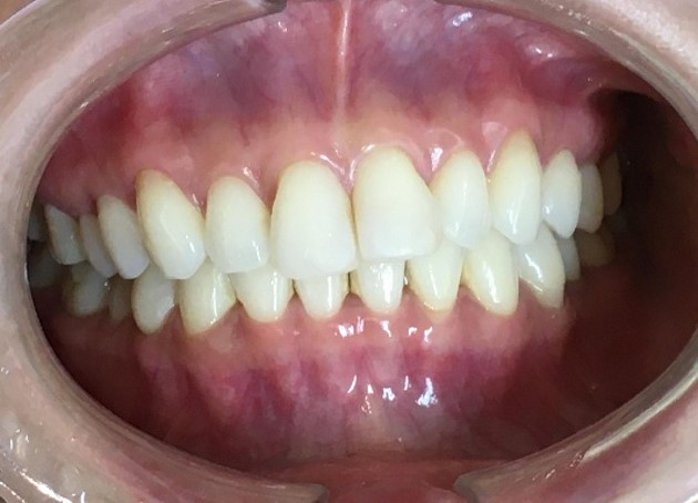
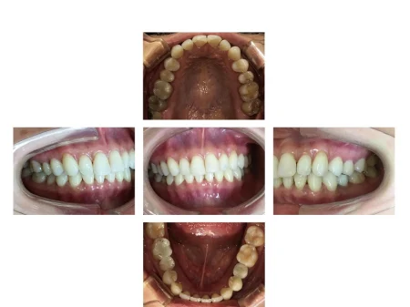
術後の経過・現在のご様子
下の前歯がまっすぐに整い、上の前歯の修復部分が欠けなくなりました。噛み合わせも問題ありません。
患者様にも「安心して噛めるようになった」と大変ご満足いただきました。
この治療のリスクについて
・決められたスケジュールを守らないと十分な効果が得られない場合があります
・マウスピースに対応していない症例の場合、治療が困難な可能性もあります
・治療による歯の移動に伴って痛みや違和感がある場合があります
・他の矯正治療と同様に、正しい歯磨きやメンテナンスを行わないと虫歯や歯周病のリスクが高まります
- 年齢・性別30代女性
- 診療種別自由診療
- 治療期間の目安1年未満
治療費総額の目安195,000円 - 【内訳】
- インビザラインGO 150,000円
- 検査代 30,000円
- 矯正経過管理料5,000円×3回
- 治療期間の目安1年未満


※掲載された情報は治療の効果を保証するものではありません。
ご利用により万一何らかの損害が発生したとしても、当サイトは一切責任を負いかねますのでご了承ください。








