
20代女性「下の前歯が上の前歯に被さっている」上下の歯の位置が逆になっている「反対咬合」を、マウスピース矯正装置「インビザラインGO」で費用を抑えて改善した症例


ご相談内容
「下の前歯が上の前歯に被さっているのを治したい」とご相談いただきました。
カウンセリング・診断結果
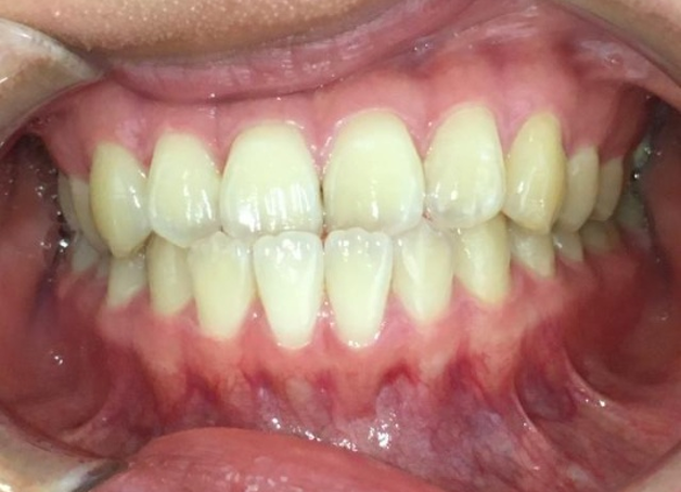
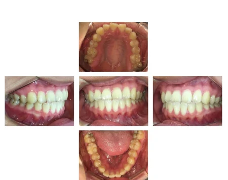
拝見したところ、下の前歯が上の前歯より前に出ている「反対咬合」でした。
反対咬合になっているのは前歯のみで、奥歯の噛み合わせや骨格は問題なかったため、前歯の傾きや位置を調整することで改善できると診断しました。
患者様は「治療の費用をなるべく抑えたい」とご希望でした。
行ったご提案・治療内容
取り外し式のマウスピース装置「インビザラインGO」で上下の前歯を動かし、歯並びを整える治療をご提案しました。
インビザラインGOを使用して前歯だけを部分的に矯正することで、費用を抑えることができ、治療期間も短くなることを丁寧にご説明し、同意いただきました。
治療計画を立てる際は来院回数が多くならないよう考慮し、患者様のご負担を減らすよう努めました。
また、前歯の歯並びを整える際に噛み合わせも変わる可能性があったため、それを加味してマウスピースの設計を行い、噛んだ時に歯に負担がかからない歯並びを目指しました。
術後の経過・現在のご様子
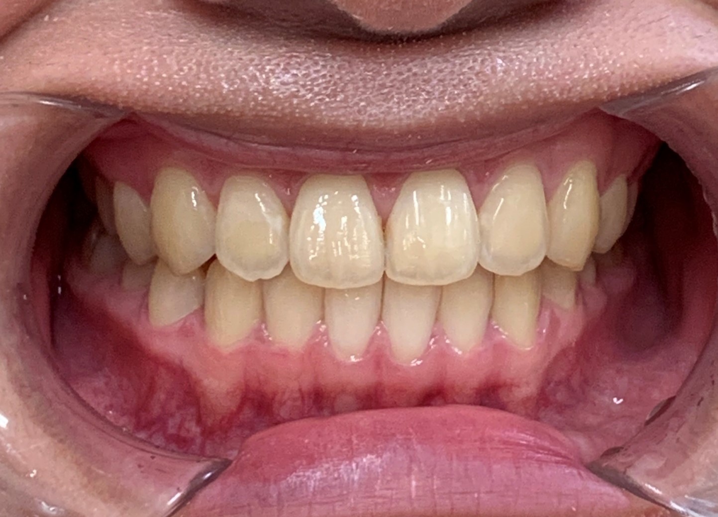
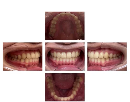
上下の前歯が正常な位置関係になり、美しい歯並びになりました。噛み合わせも問題ありません。
患者様にも「笑ったときに見た目が気にならなくなった」と非常にご満足いただいております。
この治療のリスクについて
・決められたスケジュールを守らないと十分な効果が得られない場合があります
・マウスピースに対応していない症例の場合、治療が困難な可能性もあります
・治療による歯の移動に伴って痛みや違和感がある場合があります
・他の矯正治療と同様に、正しい歯磨きやメンテナンスを行わないと虫歯や歯周病のリスクが高まります
- 年齢・性別20代女性
- 診療種別自由診療
- 治療期間の目安8ヶ月
治療費総額の目安430,000円 - 【内訳】
- インビザラインGO 400,000円
- 矯正経過管理料 5,000円×6回
- 治療期間の目安8ヶ月


※掲載された情報は治療の効果を保証するものではありません。
ご利用により万一何らかの損害が発生したとしても、当サイトは一切責任を負いかねますのでご了承ください。








