
20代女性「口元が出ている感じがする」マウスピース矯正「インビザラインフル」で歯を後方に移動させて口元の出っ張りを改善した症例


ご相談内容
「口元が出ている感じがする」とご相談をいただきました。
カウンセリング・診断結果
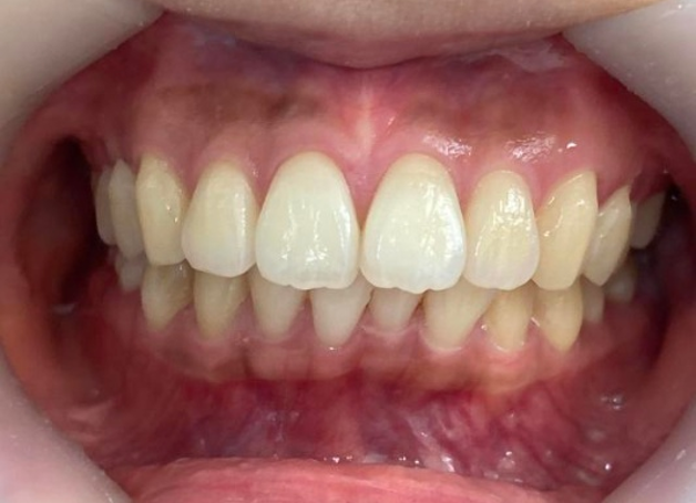
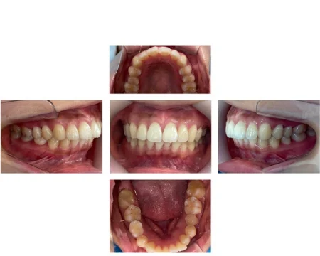
拝見すると、上下の前歯が通常より前に出ている「上下顎前突」でした。
口元を下げるためには、歯並びを改善する矯正治療が必要と診断しました。
行ったご提案・治療内容
上下顎前突の治療方法としては、前歯の横の歯(第1小臼歯/4番)を抜いて、固定式のワイヤー装置を使う「抜歯プラン」と、歯を抜かずに取り外し可能なマウスピース型の装置を使う「非抜歯プラン」があります。
患者様は非抜歯プランをご希望されたため、マウスピース矯正「インビザラインフル」を使用し、奥歯から順次後ろに歯を移動させる治療方法をご説明したところ、ご同意されました。
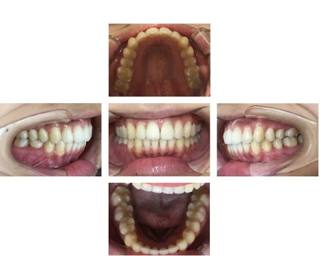
非抜歯で口元を下げるため、後方への歯の移動量を多めに行いました。
さらに、近赤外線の光で周辺の骨と組織の細胞を刺激して矯正による歯の移動スピードを加速させる「PBM加速装置」を活用し、短期間での治療完了を目指しました。
術後の経過・現在のご様子
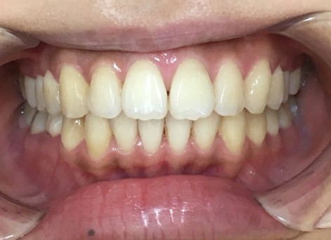
前歯が後ろに下がったことで、口元の突出感がなくなり、印象が良くなりました。
患者様からも「口元の出っ張りがなくなり嬉しいです!笑顔が増えました」と大変ご満足いただけました。
この治療のリスクについて
・決められたアライナーの装着時間を守らないと、次のアライナーに交換できず、治療が遅れたり十分な効果が得られない場合があります。
・歯を抜いた後に矯正する場合や、あごの骨格に問題がある場合など、マウスピース矯正に対応していない症例は、治療が困難な可能性もあります。
・治療による歯の移動に伴って、痛みや違和感を感じる場合があります。
・他の矯正治療と同様に、正しく歯磨きやメンテナンスを行わないと虫歯や歯周病のリスクが高まります。
- 年齢・性別20代女性
- 診療種別自由診療
- 治療期間の目安1年8ヶ月
治療費総額の目安665,000円 - <内訳>
- インビザラインフル 580,000円
- 検査代 30,000円
- 矯正経過管理料 5,000円×11回
- 治療期間の目安1年8ヶ月


※掲載された情報は治療の効果を保証するものではありません。
ご利用により万一何らかの損害が発生したとしても、当サイトは一切責任を負いかねますのでご了承ください。








