
30代女性「歯がでこぼこに生えている」前後に大きく重なり合った歯並びを、歯を抜かずにマウスピース装置「インビザラインフル」で整えた症例


ご相談内容
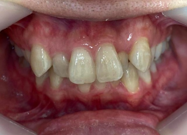
「歯がでこぼこに生えていて、笑うときに気になる」とご相談いただきました。
カウンセリング・診断結果
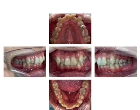
拝見したところ、上下とも歯が並ぶためのスペースが不足しており、全体的に歯が重なり合って生えている重度の「叢生(そうせい)」でした。
見た目が気になるだけでなく、虫歯や歯周病のリスクも高くなっていました。
患者様は「歯を抜かずに治療したい」とご希望でした。
行ったご提案・治療内容
取り外し式のマウスピース装置で順番に歯を動かして歯並びを整える矯正治療をご提案しました。
奥歯からしっかりと動かしてスペースを確保することで、歯を抜かずに全体の歯並びを整えられることをご説明し、同意いただきました。
マウスピースの種類は、作製できるマウスピースの枚数に制限がなく上下全体の矯正に適している「インビザラインフル」を選択しました。
矯正中は歯を動かす方向や力加減を慎重に調整し、前歯が飛び出さないよう注意しながら歯並びを改善しました。
術後の経過・現在のご様子
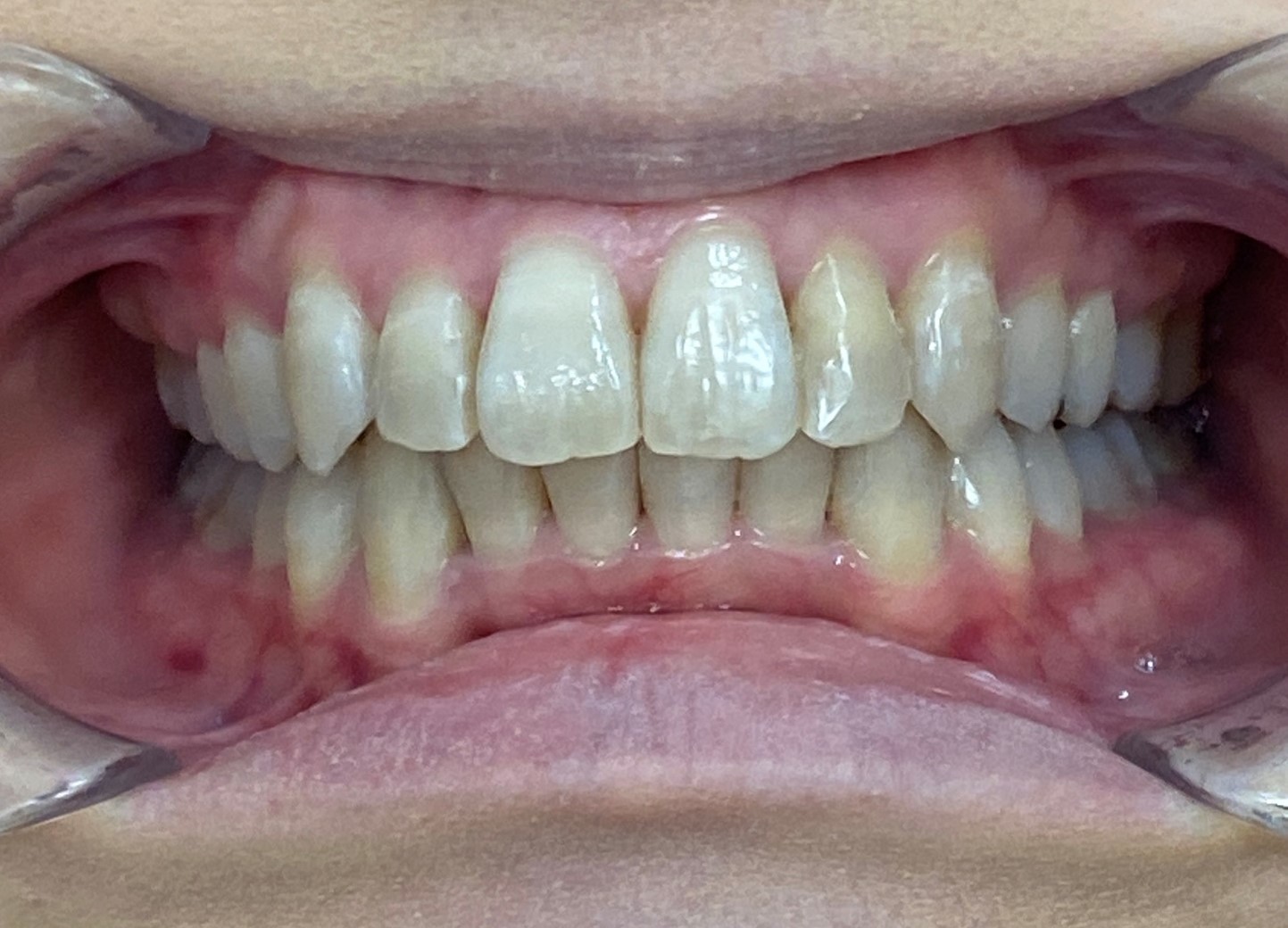
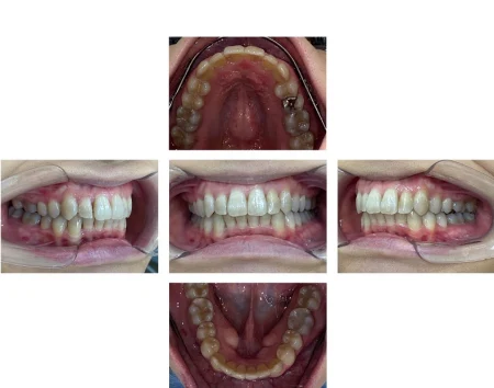
上下とも歯がまっすぐに並び、美しい口元になりました。
患者様にも「自信をもって笑えるようになった」と大変お喜びいただけました。
現在は、歯並びの後戻りを防止するための「保定装置」をご使用いただきながら経過を観察しています。
この治療のリスクについて
・決められたアライナーの装着時間を守らないと、次のアライナーに交換できず、治療が遅れたり十分な効果が得られない場合があります。
・歯を抜いた後に矯正する場合や、あごの骨格に問題がある場合など、マウスピース矯正に対応していない症例は、治療が困難な可能性もあります。
・治療による歯の移動に伴って、痛みや違和感を感じる場合があります。
・他の矯正治療と同様に、正しく歯磨きやメンテナンスを行わないと虫歯や歯周病のリスクが高まります。
- 年齢・性別30代女性
- 診療種別自由診療
- 治療期間の目安2年
治療費総額の目安680,000円 - 【内訳】
- インビザライン 580,000円
- 検査代 30,000円
- 矯正経過管理料 5,000円×8回
- 保定装置代 30,000円
- 治療期間の目安2年


※掲載された情報は治療の効果を保証するものではありません。
ご利用により万一何らかの損害が発生したとしても、当サイトは一切責任を負いかねますのでご了承ください。








