
10代女性「前歯がねじれているのが気になる」マウスピース型矯正装置「インビザラインGO」で歯並びを改善し、自信をもって笑えるようになった症例


ご相談内容
「前歯がねじれているのが気になる」とご相談いただきました。
カウンセリング・診断結果
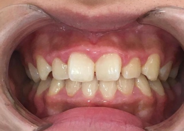
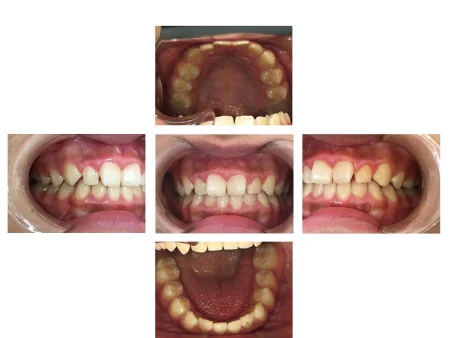
拝見すると、上の前歯2本(中切歯/1番)が中心に向かって少しねじれて生えていました。
奥歯の方の噛み合わせは、特に問題はありませんでした。
行ったご提案・治療内容
受験を控えているとのことでしたので受験勉強の妨げにならないよう、短期間で改善が見込めるマウスピース型矯正装置の「インビザラインGO」をご提案し、来院回数が少なくすむように計画を立てました。
マウスピース矯正は、十分な時間マウスピースを装着することで計画通りに治療が進むため、自己管理がとても大切になることをしっかりと説明し、ご理解とご了承を得ました。
術後の経過・現在のご様子
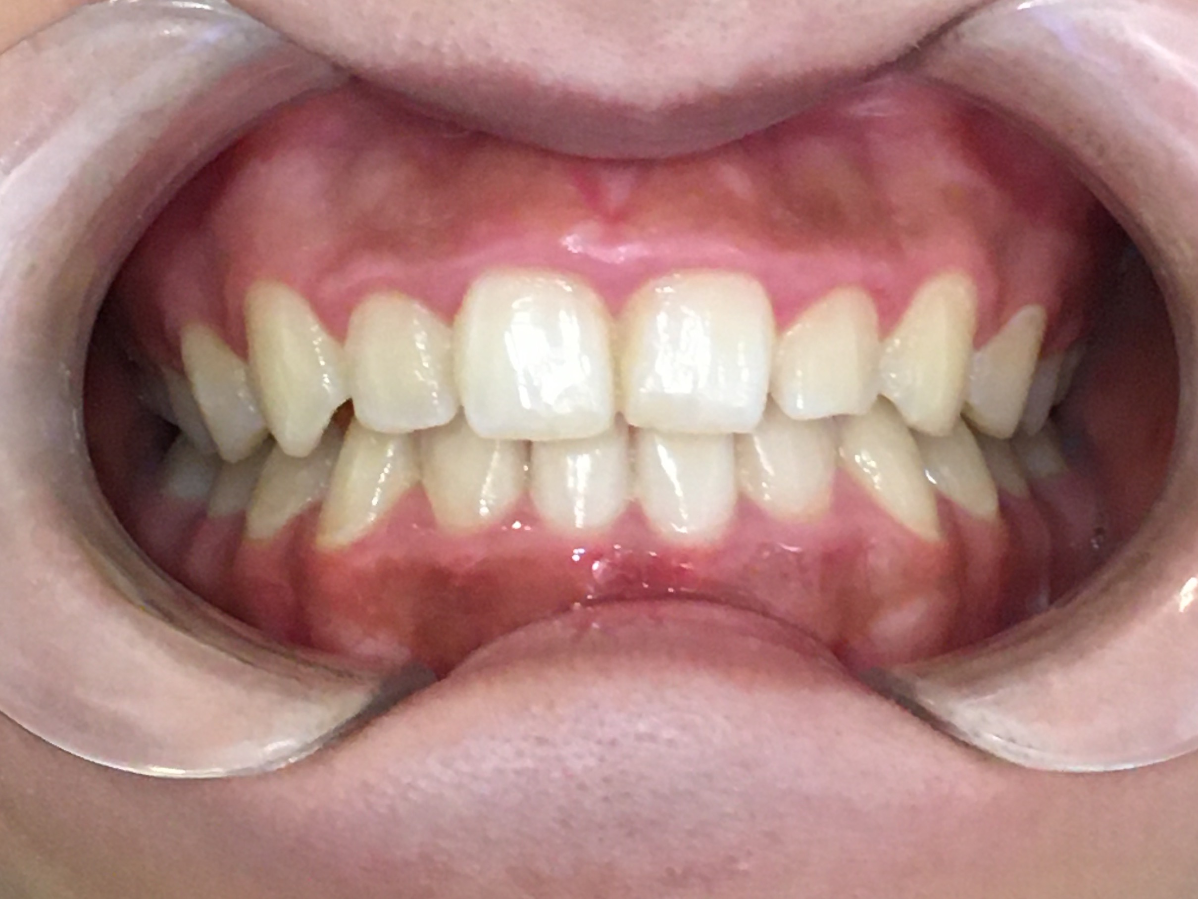
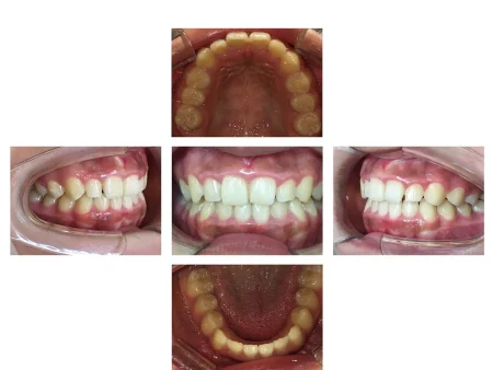
前歯のねじれが解消し、きれいに整った歯並びになりました。
患者様にも「自信をもって笑えるようになった」と大変喜んでいただけました。
現在は、矯正治療後の後戻り防止装置である「リテーナー」をご使用いただきながら、定期的なメインテナンスにご来院いただいています。
この治療のリスクについて
・決められたアライナーの装着時間を守らないと、次のアライナーに交換できず、治療が遅れたり十分な効果が得られない場合があります。
・歯を抜いた後に矯正する場合や、あごの骨格に問題がある場合など、マウスピース矯正に対応していない症例は、治療が困難な可能性もあります。
・治療による歯の移動に伴って、痛みや違和感を感じる場合があります。
・他の矯正治療と同様に、正しく歯磨きやメンテナンスを行わないと虫歯や歯周病のリスクが高まります。
- 年齢・性別10代女性
- 診療種別自由診療
- 治療期間の目安5か月
治療費総額の目安410,000円 - 【内訳】
- インビザラインGO 400,000円
- 矯正経過管理料 5,000円×2回
- 治療期間の目安5か月


※掲載された情報は治療の効果を保証するものではありません。
ご利用により万一何らかの損害が発生したとしても、当サイトは一切責任を負いかねますのでご了承ください。








