
40代女性「昔からの歯の黄ばみが気になる」歯科医院で行うオフィスホワイトニングとご自宅で行うホームホワイトニングで、明るく白い歯になった症例


ご相談内容
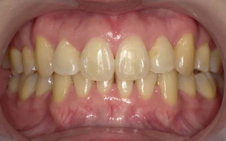
「以前から歯の黄ばみが目立ち、鏡を見るたびに口元が気になる」とご来院されました。
カウンセリング・診断結果
拝見したところ、全体的に歯が黄ばんでいました。
気にされている歯の黄ばみを薄くするためには、歯を白くする「ホワイトニング」が必要と診断しました。
患者様も「ホワイトニングで白い歯になれば、口元がキレイに見えて清潔感もあって素敵だと思う」とご希望されたため、どの程度の白さを望まれているのか、カウンセリングで丁寧にお話を伺いました。
行ったご提案・治療内容
歯科医院で専門の器材を使用してホワイトニングをする「オフィスホワイトニング」と、ご自宅で薬液を入れたマウスピースを毎日装着してホワイトニングをする「ホームホワイトニング」のご説明をしました。
患者様の理想の歯の白さに近づけるため、オフィスホワイトニングとホームホワイトニングを併用していくことをご提案し、ご希望されました。
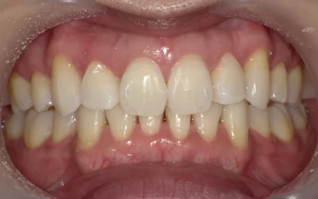
術後の経過・現在のご様子
黄ばみが薄くなり、全体的に明るく白い歯になりました。
患者様からは「綺麗です!鏡を見る回数も増えました」と感動のお言葉をいただきました。
この治療のリスクについて
個人差がありますが、治療中や治療後に歯がしみる場合があります。
- 年齢・性別40代女性
- 診療種別自由診療
- 治療期間の目安2ヶ月
治療費総額の目安98,000円
- 治療期間の目安2ヶ月
※掲載された情報は治療の効果を保証するものではありません。
ご利用により万一何らかの損害が発生したとしても、当サイトは一切責任を負いかねますのでご了承ください。








