小児矯正 症例

9歳男の子「上の前歯がねじれている」拡大装置で上あごの骨を拡大後、ワイヤー矯正のブラケットを前歯のみに装着して短期間で歯並びを整えた症例

ご相談内容

「右上の前歯がねじれて生えている」とご相談をいただきました。

カウンセリング・診断結果

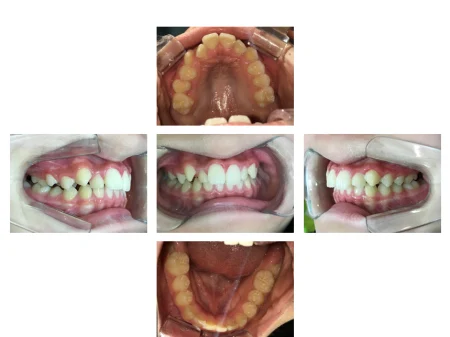
拝見したところ、上あごが小さく歯並びの幅が狭くなる「狭窄歯列弓(きょうさくしれつきゅう」が原因で、右上の前歯(側切歯/2番)がねじれて生えている「捻転(ねんてん)」でした。

患者様は遠方からご来院いただいており、お話を伺ったところサッカーもされていたため、長期間の治療は難しいと判断しました。

行ったご提案・治療内容

上の歯が生える幅が狭いため、まずは上あごの拡大装置「ファンタイプ」を装着し、歯が並ぶスペースを確保する必要があることをご説明しました。
その後、歯の表面に四角いボタンのような小さな装置「ブラケット」にワイヤーを通して歯並びを整える矯正方法で前歯のみを整える治療をご提案し、ご了承いただきました。

来院回数をなるべく少なくし、短期間で治療が完了するよう計画的に治療を進めました。

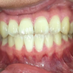
術後の経過・現在のご様子

前歯が正常な位置に並び、全体的にきれいな歯並びになりました。
患者様も仕上がりに大変満足してくださり、最後は一緒に写真も撮りました。
現在は歯並びが安定するよう、定期的に経過を観察中です。

この治療のリスクについて

・ 決められたスケジュールを守らないと、十分な効果が得られない場合があります
・マウスピースでは対応していない症例の場合、治療が困難な可能性もあります
・治療による歯の移動に伴って、痛みや違和感を感じる場合があります
・他の矯正治療と同様に、正しく歯磨きやメンテナンスを行わないと虫歯や歯周病のリスクが高まります

  1. 年齢・性別 9歳男の子
  2. 診療種別自由診療
    1. 治療期間の目安1年7か月

      治療費総額の目安485,000円
    2. 《内訳》
    3. 検査代:30,000円
    4. 小児矯正治療費:400,000円
    5. 経過管理料:5,000円×11回

※掲載された情報は治療の効果を保証するものではありません。
ご利用により万一何らかの損害が発生したとしても、当サイトは一切責任を負いかねますのでご了承ください。

PC・スマホでかんたんインターネット予約
三井アウトレットパークバス停徒歩5分 本院ご予約
高速出口すぐそばのショッピングモール内 大曲医院ご予約
札幌中心街、チカホから直結のmoyuk2F moyuk Sapporo院ご予約
オススメの関連記事