7歳女の子「上の歯並びが小さい。下の歯に隙間がある」取り外し可能な矯正装置「床矯正」で上あごの骨だけを拡大し、前歯の歯並びを整えた症例


ご相談内容
「上の歯並びが小さい。下の歯に隙間がある」とご相談を受けました。
カウンセリング・診断結果
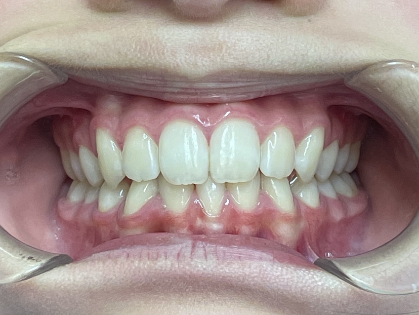
拝見したところ、上の歯は重なるようにデコボコと生えている「上顎叢生(じょうがくそうせい)」でした。歯の大きさに比べてあごの骨が小さいため、歯が並ぶスペースが不足していました。
下の歯の隙間は、生まれつき右下の前歯(側切歯/2番)が欠如している「先天性欠損」が原因でした。
行ったご提案・治療内容
下あごは先天性欠損があり、上あごを全体的に広げすぎると上下のバランスが悪くなるおそれがありました。
そのため、前歯のあごの骨だけを拡大できる、取り外し可能な矯正装置「床矯正(ファンタイプ)」で慎重に拡大を行い、下あごは経過を見ていく治療法を丁寧にご説明したところ、ご了承いただきました。
上下のバランスを取りつつ、奥歯でも噛めるように意識して矯正していきました。
術後の経過・現在のご様子
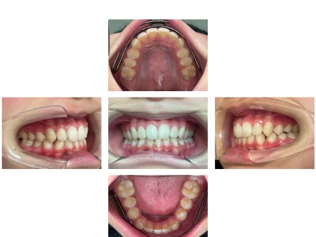
上あごが順調に広がって歯がきれいに並びました。
上の歯並びが改善されたことによって、下の歯の隙間も目立たなくなりました。
患者様とお母様にも、「上の歯並びが良くなり、きれいになった」と大変喜んでいただきました。
この治療のリスクについて
・ 決められたスケジュールを守らないと、十分な効果が得られない場合があります
・マウスピースでは対応していない症例の場合、治療が困難な可能性もあります
・治療による歯の移動に伴って、痛みや違和感を感じる場合があります
・他の矯正治療と同様に、正しく歯磨きやメンテナンスを行わないと虫歯や歯周病のリスクが高まります
- 年齢・性別 7歳女の子
- 診療種別自由診療
- 治療期間の目安5年
治療費総額の目安128,000円 - 《内訳》
- 床矯正治療費60,000円
- 検査代30,000円
- 経過管理料2,000円×19回
- 治療期間の目安5年
※掲載された情報は治療の効果を保証するものではありません。
ご利用により万一何らかの損害が発生したとしても、当サイトは一切責任を負いかねますのでご了承ください。










