
30代男性「結婚式までに歯を白くしたい」全体的な黄ばみを、ご自宅で行うホームホワイトニングと歯科医院で行うオフィスホワイトニングで白くし、口元を明るくした症例


ご相談内容
「顔の印象を良くするため、歯を白くしたい」とご来院いただきました。
カウンセリング・診断結果
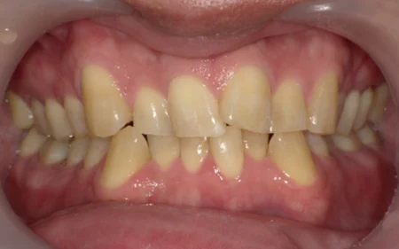
全体的に歯の黄ばみが見られ、笑ったときの口元が暗い印象でした。
患者様は「結婚式を控えているので、それまでに白くしたい」とご希望でした。
行ったご提案・治療内容
歯科医院で薬剤を使用する「オフィスホワイトニング」と、ご自宅で専用のマウスピースとジェルを使用して行っていただく「ホームホワイトニング」を併用し、歯を白くする治療をご提案しました。
2種類のホワイトニングを併用することでより早く効果が実感でき、白さも長持ちすることを患者様にご説明したところ「結婚式までに白くして、顔の印象が明るくなったらいいな」と同意いただき、治療をスタートしました。
術後の経過・現在のご様子
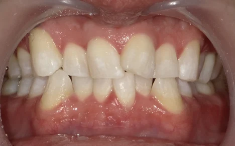
2ヶ月で歯の白さが上下とも12段階上がり、笑顔がとても魅力的になりました。
患者様にも「結婚式という大切な日を、きれいな歯で迎えることができて嬉しい」と大変お喜びいただきました。
現在は定期的なメンテナンスでご来院いただき、歯の白さを維持しています。
この治療のリスクについて
個人差がありますが、治療中や治療後に歯がしみる場合があります。
- 年齢・性別30代男性
- 診療種別自由診療
- 治療期間の目安2ヶ月
治療費総額の目安98,000円
- 治療期間の目安2ヶ月
※掲載された情報は治療の効果を保証するものではありません。
ご利用により万一何らかの損害が発生したとしても、当サイトは一切責任を負いかねますのでご了承ください。








