
20代女性「歯の黄ばみが気になる」ご自身で行う「ホームホワイトニング」と歯科医院で行う「オフィスホワイトニング」の併用で歯の色を明るくした症例


ご相談内容
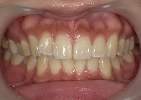
「笑った時や、奥歯が見えるときに黄ばみが気になる。2年前にネイルサロンでセルフホワイトニングを受けてみたものの、全然白くならなかった」とご来院されました。
カウンセリング・診断結果
拝見したところ、全体的に黄ばみが見られました。
また、左右上の前歯2本(側切歯/2番)は、一部分が白くなっている「白濁」があり、より歯の黄ばみが目立っていました。
行ったご提案・治療内容
ご希望に沿って、歯自体の色を白くする「ホワイトニング」をご提案しました。
まず、歯の表面に塗った薬剤が光を当てることで反応し歯に浸透するため即効性がある「オフィスホワイトニング」を当院で施術し、歯を白くしました。
その後、歯型をとって作ったトレーにホワイトニングジェルを入れてご自宅で使用する「ホームホワイトニング」を行いました。
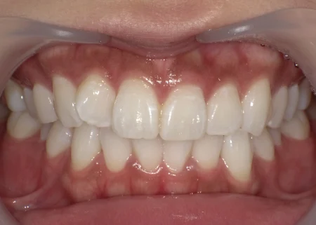
術後の経過・現在のご様子
上の前歯は白濁部分との差がほぼなくなり、全体的に白く明るい色の歯になりました。色見本(シェードガイド)での確認では、7段階明るくなりました。
患者様には「歯が白くなったことで口元が気にならなくなり、自然に笑う回数が増えた」と大変喜んでいただけました。
現在は定期的にメンテナンスでご来院されています。
この治療のリスクについて
個人差がありますが、治療中や治療後に歯がしみる場合があります。
- 年齢・性別20代女性
- 診療種別自由診療
- 治療期間の目安3ヶ月
治療費総額の目安98,000円
- 治療期間の目安3ヶ月
※掲載された情報は治療の効果を保証するものではありません。
ご利用により万一何らかの損害が発生したとしても、当サイトは一切責任を負いかねますのでご了承ください。








