ホワイトニング 症例

30代女性「歯の黄ばみと色ムラが気になる」ご自身で行う「ホームホワイトニング」と歯科医院で行う「オフィスホワイトニング」の併用で歯の色を明るくし、色ムラを改善した症例

ご相談内容

「笑った時、歯の黄ばみと色ムラが気になる」とご来院されました。

カウンセリング・診断結果

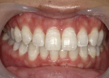
拝見したところ、黄ばみは全体的に見られました。
色ムラは、特に上の前歯(左右中切歯/1番)に強く出ていました。
患者様は「色ムラをなくして、白い歯にしたい!」とご希望でした。

行ったご提案・治療内容

患者様のご希望に沿って、歯自体の色を白くする「ホワイトニング」をご提案しました。

まず、歯の表面に塗った薬剤が光を当てることで反応し歯に浸透するため即効性がある「オフィスホワイトニング」を当院で施術し、白くしました。

その後、歯型をとって作ったトレーにホワイトニングジェルを入れてご自宅で使用する「ホームホワイトニング」を行いました。

術後の経過・現在のご様子

上の前歯2本の色ムラが軽減され、全体的に白く明るい色の歯になりました。色見本(シェードガイド)での確認では、上の歯が7段階、下の歯が5段階明るくなりました。
患者様は「2ヶ月でここまで白くできて嬉しい。周りからも白いと言われることが多くなった!」と、大変喜んでいただけました。

現在は定期的にメンテナンスでご来院されています。

この治療のリスクについて

個人差がありますが、治療中や治療後に歯がしみる場合があります。

  1. 年齢・性別30代女性
  2. 診療種別自由診療
    1. 治療期間の目安2ヶ月

      治療費総額の目安98,000円

※掲載された情報は治療の効果を保証するものではありません。
ご利用により万一何らかの損害が発生したとしても、当サイトは一切責任を負いかねますのでご了承ください。

PC・スマホでかんたんインターネット予約
三井アウトレットパークバス停徒歩5分 本院ご予約
高速出口すぐそばのショッピングモール内 大曲医院ご予約
札幌中心街、チカホから直結のmoyuk2F moyuk Sapporo院ご予約
オススメの関連記事