
40代男性「歯をきれいにしたい」全体的な黄ばみを、ご自宅で行うホームホワイトニングと歯科医院で行うオフィスホワイトニングで白くした症例


ご相談内容
「今まで歯を大切にしてこなかったので、一度きれいにリセットしたい」とご来院いただきました。
カウンセリング・診断結果
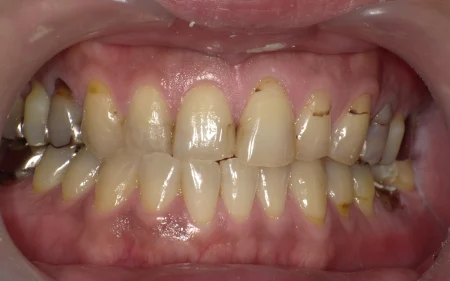
拝見したところ、全体的な歯の黄ばみが目立ちました。
歯ぐきは炎症などもなく健康だったため、歯の色を白くすれば口元の印象がぐっと良くなるのではないかと考えました。
行ったご提案・治療内容
歯科医院で薬剤を使用する「オフィスホワイトニング」と、ご自宅で専用のマウスピースとジェルを使用して行っていただく「ホームホワイトニング」を併用し、歯を白くする治療をご提案しました。
患者様にも「仕事で初対面の人と会うことが多いので、白い歯の方が印象がいい」 と同意いただき、治療を開始しました。
術後の経過・現在のご様子
3ヶ月で歯の白さが上下とも9段階上がり、とても明るい口元になりました。
患者様には「きれいな歯になって嬉しい。歯を大切にして、この状態を維持できるようにしたい」と大変ご満足いただきました。
現在は定期的なメンテナンスでご来院いただいています。
この治療のリスクについて
個人差がありますが、治療中や治療後に歯がしみる場合があります。
- 年齢・性別40代男性
- 診療種別自由診療
- 治療期間の目安3ヶ月
治療費総額の目安98,000円
- 治療期間の目安3ヶ月
※掲載された情報は治療の効果を保証するものではありません。
ご利用により万一何らかの損害が発生したとしても、当サイトは一切責任を負いかねますのでご了承ください。








