
40代女性「すきっ歯を治したい」マウスピース型の矯正装置「インビザラインフル」で歯ぎしりから歯を守りながら歯並びを整えた症例


ご相談内容
「すきっ歯を治したい」とご来院されました。
カウンセリング・診断結果
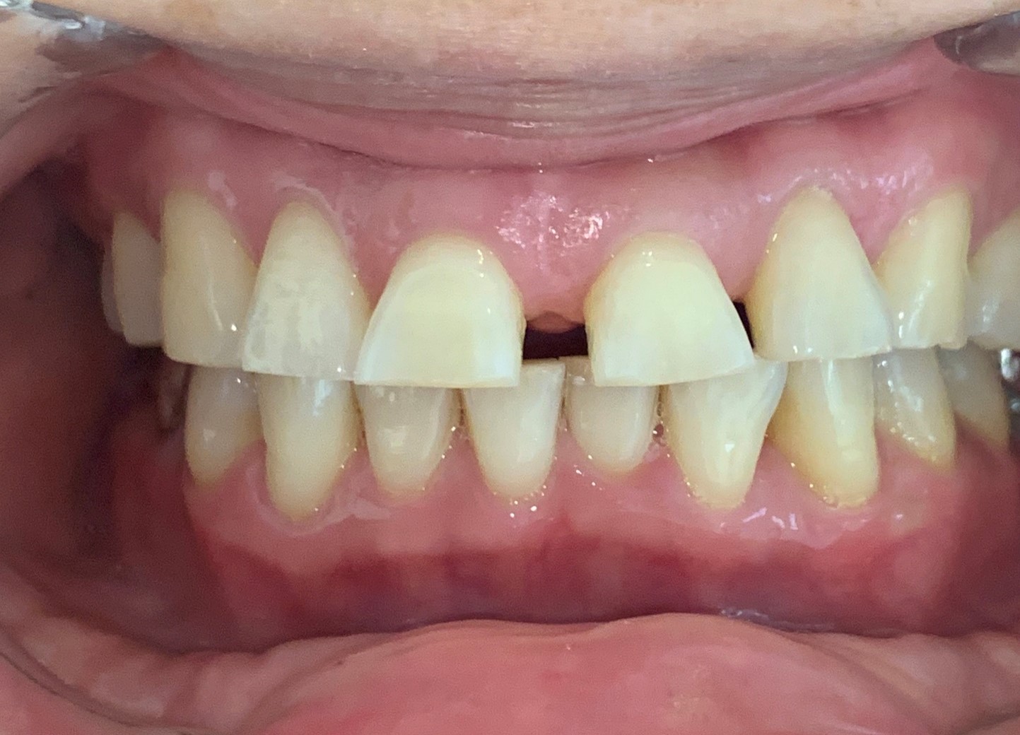
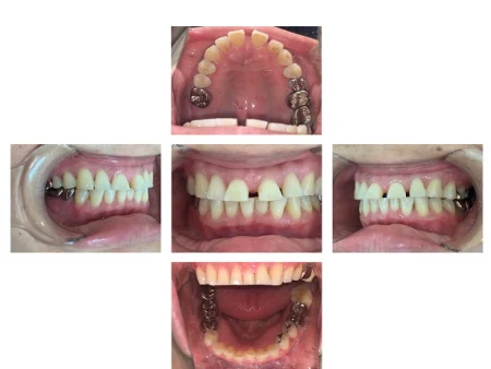
拝見すると、歯と歯の間に隙間が空いている歯並びの「空隙歯列(くうげきしれつ)」でした。
その中でも目立ちやすい、上の前歯(中切歯/1番)の間に隙間が空いている「正中離開(せいちゅうりかい)」の状態でした。
また、歯の噛み合わせとすり減り具合から日常的に歯ぎしりをしていると思われ、空隙歯列もこの影響から起きていると考えられました。
行ったご提案・治療内容
歯ぎしりから歯を守りながら歯並びを改善することができる、マウスピース型の矯正装置「インビザラインフル」をご提案し、ご了承いただきました。
また、歯ぎしりによって治療後に元の歯並びへ後戻りしないように、嚙み合わせを十分考えて治療しました。
術後の経過・現在のご様子
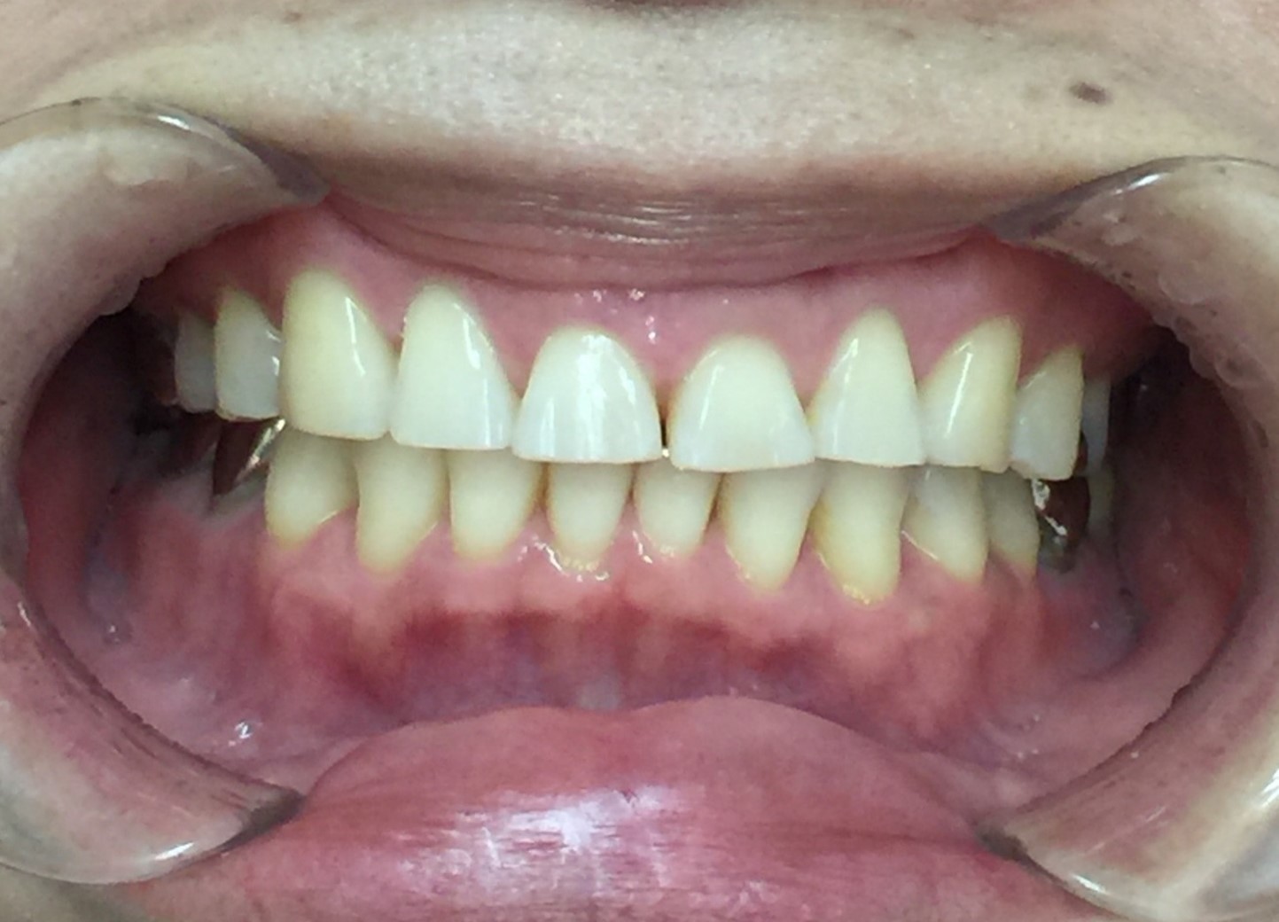
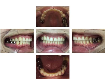
歯並びがきれいに整い前歯の隙間が閉じたことで見た目が改善し、大変ご満足いただきました。
現在は、元の歯並びへの後戻りを防止する「保定装置」を使用していただきながら、定期的な経過観察とメンテナンスを行っています。
この治療のリスクについて
・決められたアライナーの装着時間を守らないと、次のアライナーに交換できず、治療が遅れたり十分な効果が得られない場合があります。
・歯を抜いた後に矯正する場合や、あごの骨格に問題がある場合など、マウスピース矯正に対応していない症例は、治療が困難な可能性もあります。
・治療による歯の移動に伴って、痛みや違和感を感じる場合があります。
・他の矯正治療と同様に、正しく歯磨きやメンテナンスを行わないと虫歯や歯周病のリスクが高まります。
- 年齢・性別40代女性
- 診療種別自由診療
- 治療期間の目安1年3か月
治療費総額の目安680,000円
<内訳> - インビザラインフル治療費580,000円
- 検査代30,000円
- 矯正経過管理料5,000円×8回
- 保定装置代30,000円
- 治療期間の目安1年3か月


※掲載された情報は治療の効果を保証するものではありません。
ご利用により万一何らかの損害が発生したとしても、当サイトは一切責任を負いかねますのでご了承ください。








