小児矯正 症例

9歳男の子「前歯が内側に入っていて歯並びが悪いのが気になる」上あごの成長を促す取り外し可能な矯正器具を用いて噛み合わせと見た目を整えた症例

ご相談内容

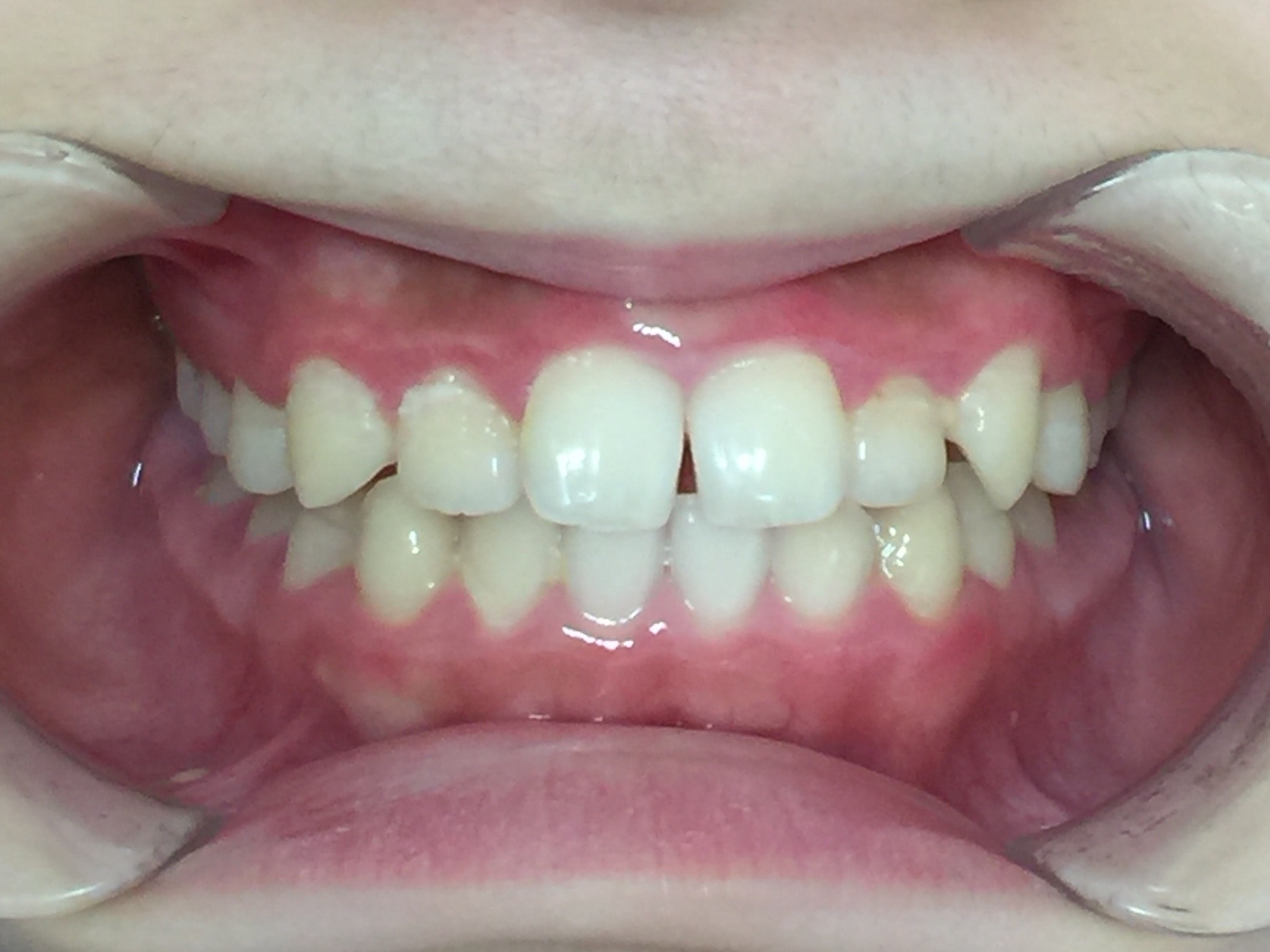
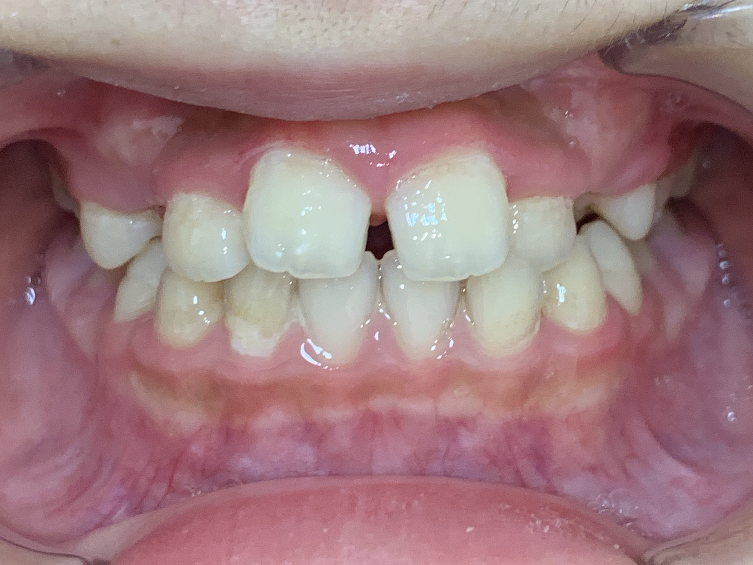
「前歯が内側に入っていて歯並びが悪いのが気になる」とご相談をいただきました。

カウンセリング・診断結果

拝見したところ、左上の前歯(側切歯/2番)が内側に入り込んで下の歯と正常に噛み合っていない「クロスバイト(交叉咬合/こうさこうごう)」でした。
また、歯の生え変わり時期で、全体的に永久歯がガタガタに生えてきている「叢生(そうせい)」でした。

歯並びの幅が狭く、歯がきちんと並ぶスペースがないことが原因で歯並びが悪くなっていると考えられました。

行ったご提案・治療内容

患者様のご年齢と今後の上あごの成長量を考慮しながら、取り外し式の装置を使ってあごの成長を促し歯並びの幅を横に広げる「床矯正(しょうきょうせい)」をご提案しました。

歯がきれいに並ぶためのスペースを確保し、ガタガタな歯並びの改善を目指しました。

術後の経過・現在のご様子

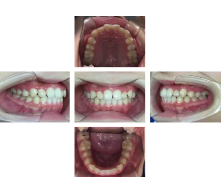
左上の前歯がきちんと外側に出て、正しい噛み合わせになりました。
また、乳歯から永久歯への生え変わりも順調で、全体的にきれいな歯並びを維持されています。

この治療のリスクについて

・ 決められたスケジュールを守らないと、十分な効果が得られない場合があります
・マウスピースでは対応していない症例の場合、治療が困難な可能性もあります
・治療による歯の移動に伴って、痛みや違和感を感じる場合があります
・他の矯正治療と同様に、正しく歯磨きやメンテナンスを行わないと虫歯や歯周病のリスクが高まります

  1. 年齢・性別 9歳男の子
  2. 診療種別自由診療
    1. 治療期間の目安3年

      治療費総額の目安225,000円
    2. 《内訳》
    3. 床矯正治療費120,000円
    4. 検査代30,000円
    5. 矯正経過管理料5,000円×15回

※掲載された情報は治療の効果を保証するものではありません。
ご利用により万一何らかの損害が発生したとしても、当サイトは一切責任を負いかねますのでご了承ください。

PC・スマホでかんたんインターネット予約
三井アウトレットパークバス停徒歩5分 本院ご予約
高速出口すぐそばのショッピングモール内 大曲医院ご予約
札幌中心街、チカホから直結のmoyuk2F moyuk Sapporo院ご予約
オススメの関連記事