
20代男性「CMで見るような白く美しい歯にしたい」自宅でできる「ホームホワイトニング」と歯科医院で行う「オフィスホワイトニング」を併用し、歯の黄ばみを白く改善した症例


ご相談内容
「歯磨き粉のCMを見て白い歯に憧れるようになった。どのように治療するのか聞きたい」とご来院されました。
カウンセリング・診断結果
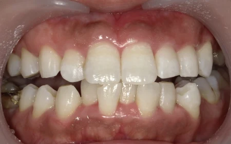
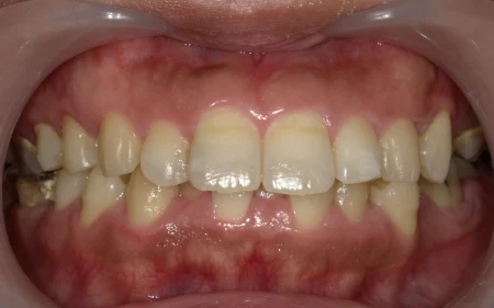
拝見したところ、全体的に歯が黄ばんでいて、口元が暗い印象でした。
行ったご提案・治療内容
ご自宅で専用のマウスピースとジェルを使用し行っていただく「ホームホワイトニング」と、歯科医院で専用の薬剤を用いて行う「オフィスホワイトニング」を併用し歯を白くする治療をご提案しました。
2種類のホワイトニングを組み合わせて行うことで、短期間で効果が実感でき、歯の白さが長持ちすることをご説明しました。また、実際に当院のホワイトニングを行ったスタッフの歯も見ていただいたところ「自分もこうなりたい!」と治療に同意していただきました。
術後の経過・現在のご様子
歯の白さが、上の歯は11段階、下の歯は6段階明るくなり、患者様にも「自分が憧れていた歯のように白く輝き、とても嬉しい」 と大変ご満足いただきました。
現在はホワイトニングの効果をより長持ちさせるため、定期的なクリーニングでご来院いただいております。
この治療のリスクについて
個人差がありますが、治療中や治療後に歯がしみる場合があります。
- 年齢・性別20代男性
- 診療種別自由診療
- 治療期間の目安2ヶ月
治療費総額の目安98,000円
- 治療期間の目安2ヶ月
※掲載された情報は治療の効果を保証するものではありません。
ご利用により万一何らかの損害が発生したとしても、当サイトは一切責任を負いかねますのでご了承ください。








