インビザライン治療 症例

40代男性「歯並びが悪くなってきた。物が挟まりやすい」歯周病が原因で外側に広がった歯を、マウスピース型の矯正装置「インビザラインフル」で内側に戻して隙間も改善した症例

ご相談内容

「歯並びが悪いのが気になる。物が挟まりやすい」とご相談をいただきました。

カウンセリング・診断結果

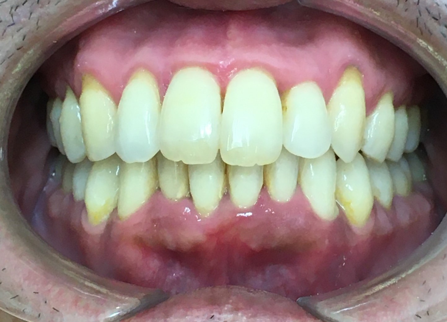
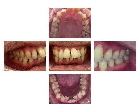
診察したところ、歯ぐきに炎症が起きている「歯周病」が原因で奥歯から全体的に歯が外側に広がってしまい、歯並びが悪化していました。
そのため、歯と歯の間に隙間も多く、物が挟まりやすい状態でした。

歯周病になると、歯の根を支える骨「歯槽骨(しそうこつ)」が吸収されて歯ぐきがやせていき、歯が傾いて歯並びが乱れやすくなります。
歯並びが悪いまま放置すると、噛み合わせが悪くなるだけでなく、体のさまざまなところにも悪影響が出るため、早めの矯正治療が必要です。

行ったご提案・治療内容

まずは歯石の除去やブラッシング指導などの「歯周治療」を行って歯周病の症状を落ち着かせた後、広がっている歯を内側に入れるために奥歯をしっかりと正しい位置に戻してから、最終的に歯全体を正しい歯並びにする矯正治療をご提案し、ご了承いただきました。

矯正装置には、製作できるマウスピース装置の枚数が無制限で上下全体の矯正に向いている「インビザラインフル」を選択しました。
矯正中は、歯周病の影響を受けている歯を動かすため、力をかけ過ぎないよう、マウスピース1枚の移動量を慎重に加減しました。

術後の経過・現在のご様子

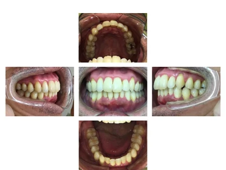
歯が内側に収まって隙間もなくなり、見た目も改善されました。
患者様も「物が挟まらずに食事ができるようになって嬉しい」と仕上がりにご満足されています。

この治療のリスクについて

・決められたアライナーの装着時間を守らないと、次のアライナーに交換できず、治療が遅れたり十分な効果が得られない場合があります。
・歯を抜いた後に矯正する場合や、あごの骨格に問題がある場合など、マウスピース矯正に対応していない症例は、治療が困難な可能性もあります。
・治療による歯の移動に伴って、痛みや違和感を感じる場合があります。
・他の矯正治療と同様に、正しく歯磨きやメンテナンスを行わないと虫歯や歯周病のリスクが高まります。

  1. 年齢・性別40代男性
  2. 診療種別自由診療
    1. 治療期間の目安1年未満

      治療費総額の目安675,000円
      <内訳>
    2. インビザラインフル治療費580,000円
    3. 検査代30,000円
    4. 矯正経過管理料5,000円×7回
    5. 保定装置代30,000円
    6. ※歯周治療は保険診療内

※掲載された情報は治療の効果を保証するものではありません。
ご利用により万一何らかの損害が発生したとしても、当サイトは一切責任を負いかねますのでご了承ください。

PC・スマホでかんたんインターネット予約
三井アウトレットパークバス停徒歩5分 本院ご予約
高速出口すぐそばのショッピングモール内 大曲医院ご予約
札幌中心街、チカホから直結のmoyuk2F moyuk Sapporo院ご予約
オススメの関連記事