
30代女性「引っ越しで矯正治療が中断している。再開したい」他院で行っていたマウスピース型矯正装置「インビザラインフル」を引き継ぎ、八重歯の歯並びを改善した症例


ご相談内容
「引っ越ししたため、前の歯科医院での矯正治療が途中で終わってしまった。残りの期間を使って仕上げてほしい」とご相談をいただきました。
カウンセリング・診断結果
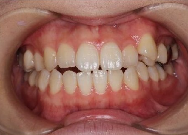
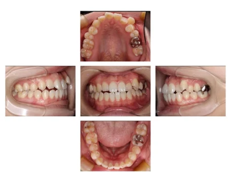
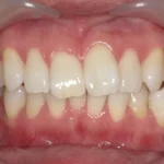
拝見すると、左上の前歯(犬歯/3番)が歯並びから前に飛び出している「八重歯」でした。
前の歯科医院において、八重歯を矯正するため奥歯を後ろに動かし歯が並ぶスペースを確保する矯正方法「インビザラインフル」で治療されていた患者様でした。
また奥歯にかけて、歯の黄ばみが少しありました。
行ったご提案・治療内容
左上の八重歯を矯正ししっかりと噛めるようにするためには、奥歯から全体的に歯並びを治す必要があります。患者様のご希望に沿って、前院で行っていた上下全体の矯正に適しているマウスピース型矯正装置「インビザラインフル」での治療を当院で引き続き行うことにしました。
ただ、インビザラインでの治療期限が短かったため、その期限内で矯正が完了するよう計画的に治療を進めました。
さらに歯の色を白くするため、矯正と同じマウスピースを用いてご自宅で行える「ホームホワイトニング」をご提案し、ご了承いただきました。
術後の経過・現在のご様子
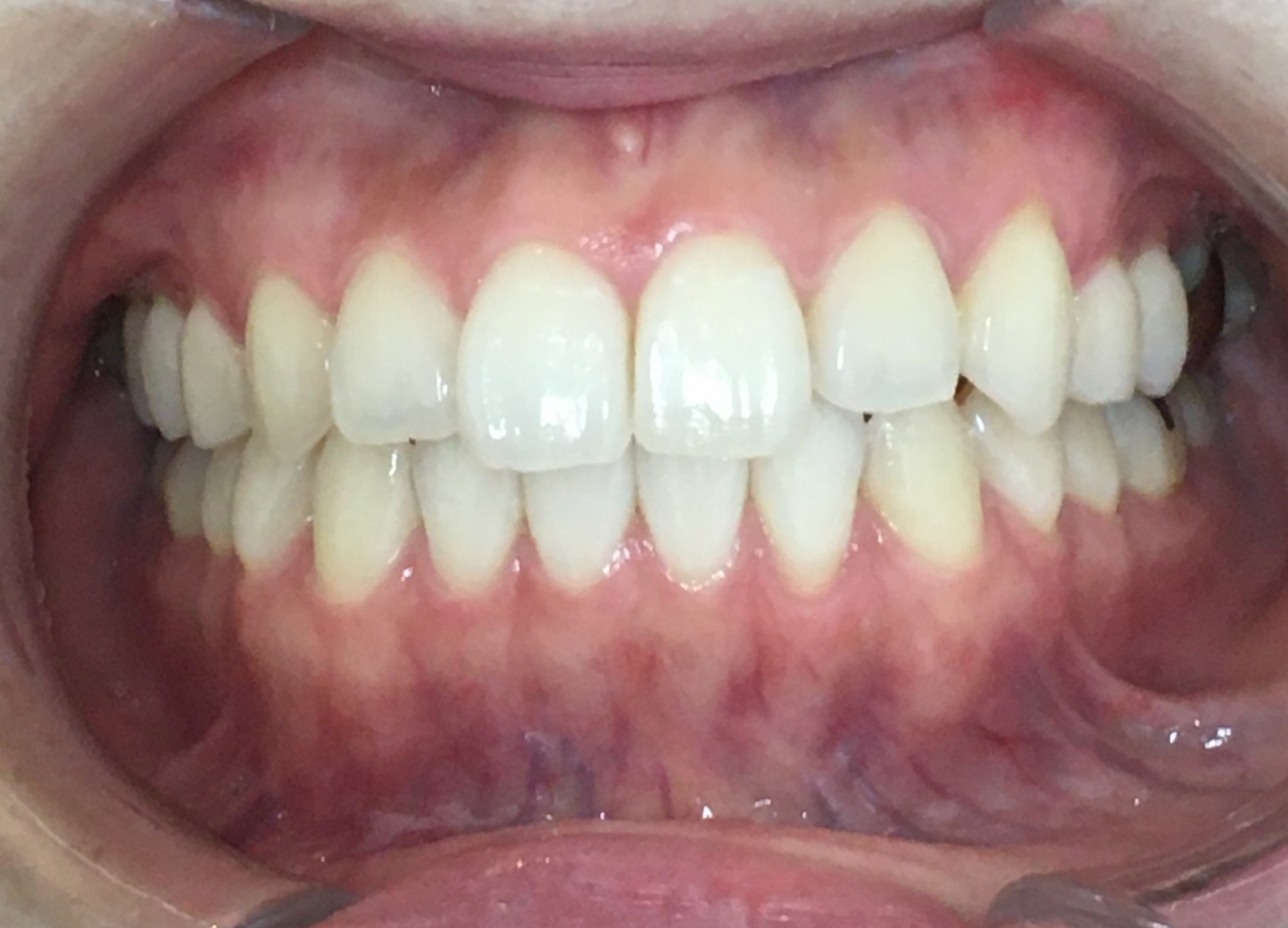
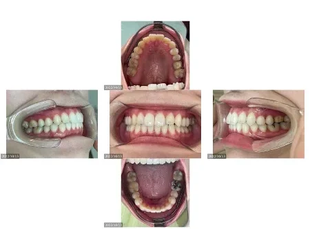
歯並びが綺麗になって噛み合わせが整うとともに、歯の色も白くなりました。
患者様にも「しっかり噛めるようになった。見た目も明るい印象になった」と喜んでいただきました。
この治療のリスクについて
・決められたアライナーの装着時間を守らないと、次のアライナーに交換できず、治療が遅れたり十分な効果が得られない場合があります。
・歯を抜いた後に矯正する場合や、あごの骨格に問題がある場合など、マウスピース矯正に対応していない症例は、治療が困難な可能性もあります。
・治療による歯の移動に伴って、痛みや違和感を感じる場合があります。
・他の矯正治療と同様に、正しく歯磨きやメンテナンスを行わないと虫歯や歯周病のリスクが高まります。
- 年齢・性別30代女性
- 診療種別自由診療
- 治療期間の目安1年未満
治療費総額の目安21,000円
<内訳> - 保定経過管理料:2,000円×3
- ホームホワイトニング:15,000円
- 治療期間の目安1年未満


※掲載された情報は治療の効果を保証するものではありません。
ご利用により万一何らかの損害が発生したとしても、当サイトは一切責任を負いかねますのでご了承ください。








