
50代女性「マスクを外した時、口元がどう思われるか気になる」ご自宅で行う「ホームホワイトニング」と歯科医院で行う「オフィスホワイトニング」を併用し、黄ばみを除去して白い歯に改善した症例


ご相談内容
「マスクを外した時に口元がどう思われているのか気になる」とご相談をいただきました。
カウンセリング・診断結果
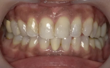
拝見したところ、全体的に歯が黄ばんでいて暗い印象でした。
患者様はマスク生活になってから、「マスクを外した時に歯の黄ばみが目立ってしまうのではないか」と不安を感じていらっしゃいました。
行ったご提案・治療内容
歯の黄ばみを分解して自然な白さに近づける「ホワイトニング」で歯を白くすることが可能と診断しました。
歯科医院で歯に薬を塗ってレーザーを当てる「オフィスホワイトニング」と、ご自宅で専用のジェルを塗ったマウスピースを装着して行う「ホームホワイトニング」を併用した治療をご提案しました。
2種類のホワイトニングを組み合わせることで、より早く効果が実感できると共に歯の白さが長持ちすることをご説明したところ、患者様は「少しでも気にならないようになりたい・・・!」と治療にご同意されました。
術後の経過・現在のご様子
2ヶ月半で下の歯が11段階、上の歯が10段階トーンアップして、はっきりとした白さで艶がある歯に仕上がりました。
患者様も「最初と比べると全然違う!!」と白さを実感していただいています。
この治療のリスクについて
個人差がありますが、治療中や治療後に歯がしみる場合があります。
- 年齢・性別50代女性
- 診療種別自由診療
- 治療期間の目安2ヶ月半
治療費総額の目安98,000円
- 治療期間の目安2ヶ月半
※掲載された情報は治療の効果を保証するものではありません。
ご利用により万一何らかの損害が発生したとしても、当サイトは一切責任を負いかねますのでご了承ください。








