
20代男性「歯が黄色いのが気になる」ご自宅で行う「ホームホワイトニング」と歯科医院で行う「オフィスホワイトニング」を併用して輝く白い歯に改善した症例


ご相談内容
「鏡を見た時に歯が黄色いなと思うことが多くなった」とご相談をいただきました。
カウンセリング・診断結果
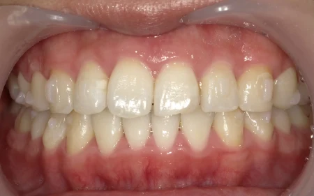
拝見したところ、全体的に歯が黄ばんでいました。
患者様は矯正治療中であり、矯正器具を装着していることにより歯磨きがしづらかったことが原因で、黄ばみが進行してしまったと考えられます。
行ったご提案・治療内容
歯の黄ばみを分解して自然な白さに近づける「ホワイトニング」で歯を白くすることが可能と診断しました。
歯科医院で歯に薬を塗ってレーザーを当てる「オフィスホワイトニング」と、ご自宅で専用のジェルを塗ったマウスピースを装着して行う「ホームホワイトニング」を併用した治療をご提案しました。
2種類のホワイトニングを組み合わせることで、より早く効果が実感できると共に歯の白さが長持ちすることをご説明したところ、患者様は「歯の色を気にせず鏡を見たり、人と話したい!」と治療にご同意されました。
術後の経過・現在のご様子
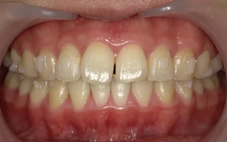
上の歯が9段階、下の歯が12段階トーンアップし、輝く白い歯に仕上がりました。
患者様も、ホワイトニングする前との比較写真を見て、「こんなに綺麗になるのかと驚いている」と感動していただけました!
この治療のリスクについて
個人差がありますが、治療中や治療後に歯がしみる場合があります。
- 年齢・性別20代男性
- 診療種別自由診療
- 治療期間の目安2ヶ月半
治療費総額の目安98,000円
- 治療期間の目安2ヶ月半
※掲載された情報は治療の効果を保証するものではありません。
ご利用により万一何らかの損害が発生したとしても、当サイトは一切責任を負いかねますのでご了承ください。








