
20代男性「歯並びと黄ばみを同時に治したい」マウスピース矯正とホワイトニングを並行して歯を白くして、ガタガタしていた前歯の歯並びも改善中の症例


ご相談内容
「歯並びを治すのと同時に歯の黄ばみも治したい」とご来院いただきました。
また、歯並びを治す矯正治療はマウスピース型の装置「インビザラインフル」をご希望でした。
カウンセリング・診断結果
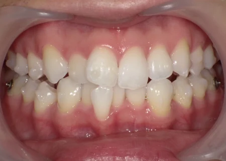
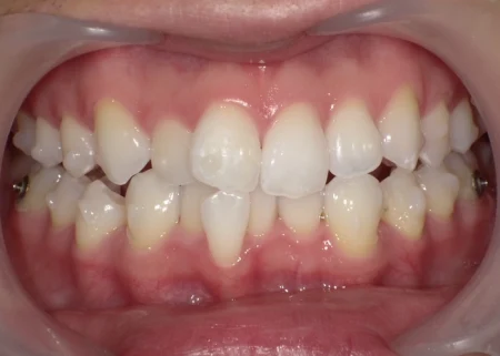
拝見させていただくと、全体的に歯が黄ばんでおり、歯並びは上下前歯がガタガタしている「叢生(そうせい)」の状態でした。
行ったご提案・治療内容
歯を白くするホワイトニング治療は、歯科医院で行う「オフィスホワイトニング」とご自宅で行える「ホームホワイトニング」を併用することにしました。
矯正治療は、患者様もご希望されていた、ホワイトニング治療と同時に使用できる「インビザラインフル」をご提案しました。
術後の経過・現在のご様子
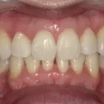
歯の白さが治療前より8段階トーンアップし、明るい白い歯になりました。
患者様からも「歯が白くなったのを実感しています!周りの人にも白くなったと言われるようになりました! 」と大変喜んでいただけています。
現在はインビザラインフルでの矯正を継続しており、歯並びの改善中です。
この治療のリスクについて
個人差がありますが、治療中や治療後に歯がしみる場合があります。
- 年齢・性別20代男性
- 診療種別自由診療
- 治療期間の目安2ヶ月半(ホワイトニングのみの期間)
治療費総額の目安98,000円
- 治療期間の目安2ヶ月半(ホワイトニングのみの期間)
※掲載された情報は治療の効果を保証するものではありません。
ご利用により万一何らかの損害が発生したとしても、当サイトは一切責任を負いかねますのでご了承ください。








