
40代男性「以前行ったホワイトニングの効果が実感できず、もっと白くしたい」戻った歯の黄ばみを、ご自宅で行うホームホワイトニングと歯科医院で行うオフィスホワイトニングで短期間で白くした症例


ご相談内容
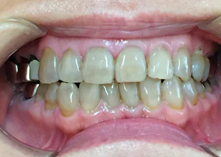
「過去にホワイトニングを行ったがあまり効果を実感できなかった。もう少し白くしたい」とご来院いただきました。
カウンセリング・診断結果
拝見したところ、ホワイトニングを行ってから期間が空いてしまっていたため、歯の黄ばみが戻っている状態でした。
行ったご提案・治療内容
歯科医院で薬剤を使用して歯を白くする「オフィスホワイトニング」と、ご自宅で専用のマウスピースとジェルを使用して行っていただく「ホームホワイトニング」を併用する治療をご提案しました。
2種類のホワイトニングを組み合わせることで、より短期間で効果が実感できると共に歯の白さが長持ちすることを丁寧にご説明しました。
また、歯の色の見本(シェードガイド)をお見せして、現在の歯の色とホワイトニング後の白さを確認し、患者様にご納得いただいてから治療を開始しました。
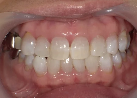
術後の経過・現在のご様子
歯の白さが、2ヶ月で上下共に6段階ずつアップし、明るく美しい仕上がりになりました。
患者様にも「短期間で効果が実感できて非常に嬉しい」と大変ご満足いただけました。
現在も定期的なメンテナンスでご来院いただいております。
この治療のリスクについて
個人差がありますが、治療中や治療後に歯がしみる場合があります。
- 年齢・性別40代男性
- 診療種別自由診療
- 治療期間の目安2か月
治療費総額の目安98,000円
- 治療期間の目安2か月
※掲載された情報は治療の効果を保証するものではありません。
ご利用により万一何らかの損害が発生したとしても、当サイトは一切責任を負いかねますのでご了承ください。








