
20代女性「笑った時に歯が黄色いのが気になる」ご自宅で行うホームホワイトニングと、歯科医院で行うオフィスホワイトニングを併用して歯の色を白くした症例


ご相談内容
「笑った時に歯が黄色いのが気になる」とご相談いただきました。
カウンセリング・診断結果
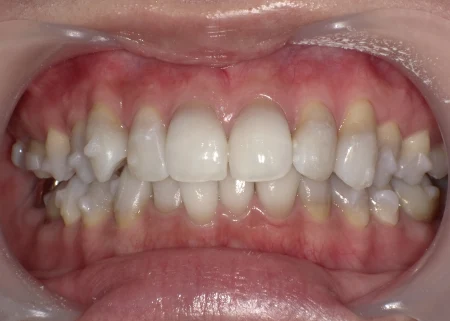
拝見したところ、全体的に歯の表面が黄ばんでいる状態でした。
行ったご提案・治療内容
歯科医院で薬剤を使用して歯を白くする「オフィスホワイトニング」と、ご自宅で専用のマウスピースとジェルを使用して行っていただく「ホームホワイトニング」を併用する治療をご提案しました。
2種類のホワイトニングを組み合わせることで、より早く効果が実感できると共に歯の白さが長持ちすることをご説明しました。
また、歯の色の見本(シェードガイド)をお見せして、現在の歯の色とホワイトニング後の白さを確認していただき、患者様も「歯が白かったらいいな」と改めて仰ってくださったので、治療を開始しました。
術後の経過・現在のご様子
歯の白さが、上の歯は10段階、下の歯は12段階上がり、明るい口元になりました。
患者様からも「マスクを取ったときに歯の色を気にしなくて良くなり、とても嬉しい」とお喜びのお言葉をいただきました。
現在は定期的なメンテナンスでご来院いただいております。
この治療のリスクについて
個人差がありますが、治療中や治療後に歯がしみる場合があります。
- 年齢・性別20代女性
- 診療種別自由診療
- 治療期間の目安2か月半
治療費総額の目安98,000円
- 治療期間の目安2か月半
※掲載された情報は治療の効果を保証するものではありません。
ご利用により万一何らかの損害が発生したとしても、当サイトは一切責任を負いかねますのでご了承ください。








