
50代男性「コンプレックスである歯の黄ばみを取ってほしい」自宅で行うホームホワイトニングと歯科医院で行うオフィスホワイトニングを併用し歯を白くした症例


ご相談内容
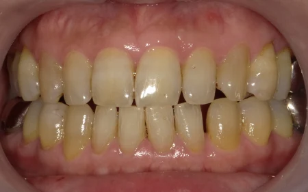
「コンプレックスである歯の黄ばみを取りたい」とご来院されました。
カウンセリング・診断結果
全体的に歯が黄ばみ、口元が暗い印象でした。
患者様に詳しくお伺いすると、歯の黄ばみは小さい頃からのお悩みだったようで、「きれいな白い歯にしたい」と強く願っておられました。
行ったご提案・治療内容
まず歯のクリーニングを行ってから、ご自宅で専用のマウスピースとジェルを使用し行っていただく「ホームホワイトニング」と、歯科医院で薬剤を使用して歯を白くする「オフィスホワイトニング」を併用する方法をご提案しました。
ホームホワイトニングは効果が長く持続しますが、歯が白くなったと実感できるまで2週間〜1ヶ月程度かかるので、即効性のあるオフィスホワイトニングを併用することでより早く効果がでることを丁寧にご説明し、患者様に同意していただきました。
術後の経過・現在のご様子
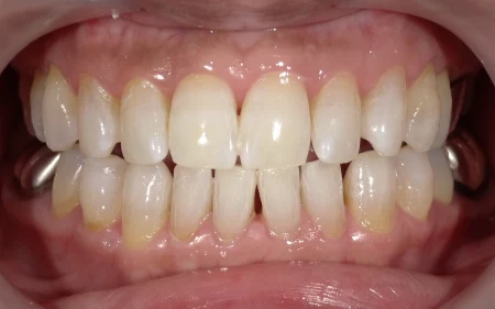
歯の白さが、上の歯は10段階、下の歯は14段階明るくなり、とても美しい歯並びになりました。
患者様にも「歯が白くなって気分も明るくなった。クリーニングをしてから口のねばつきもなくなって嬉しい」と大変ご満足いただいています。
この治療のリスクについて
個人差がありますが、治療中や治療後に歯がしみる場合があります。
- 年齢・性別50代男性
- 診療種別自由診療
- 治療期間の目安2か月半
治療費総額の目安98,000円
- 治療期間の目安2か月半
※掲載された情報は治療の効果を保証するものではありません。
ご利用により万一何らかの損害が発生したとしても、当サイトは一切責任を負いかねますのでご了承ください。








