クリーニング 症例

40代女性「歯の表面の着色汚れを改善したい」マウスピース矯正中についたステインや舌の汚れを自費のクリーニング1回できれいに除去できた症例

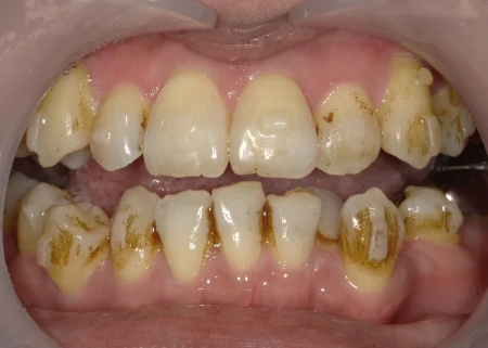
ご相談内容

マウスピース型の装置を使った矯正治療「インビザラインフル」を当院でされている患者様で、「矯正開始後から、歯の表面に着色汚れがつくようになってしまった」とご来院されました。

カウンセリング・診断結果

拝見したところ、お口全体の歯の表面や歯と歯の間に着色汚れ(ステイン)が見られました。また、舌にも汚れが付着していました。

インビザラインフルで矯正治療を行う際には、マウスピースを歯に固定してきちんと歯が動くように白い突起物「アタッチメント」を接着します。そのため、歯ブラシで磨きづらくなり、着色がつきやすくなります。

行ったご提案・治療内容

患者様は「歯の汚れを落としてきれいにしたい!」とご希望でしたので、舌や口腔内の汚れを一度で落とせる自費のクリーニングをご提案し、ご了承いただきました。

術後の経過・現在のご様子

白く艶があるきれいな歯になりました。
患者様にも「汚れがすごく取れています!きれいになって嬉しい」と喜んでいただけました。

この治療のリスクについて

個人差がありますが、治療中や治療後に歯がしみる場合があります。

  1. 年齢・性別40代女性
  2. 診療種別自由診療
    1. 治療期間1日

      治療費総額の目安6,000円
    2. (1度当院で治療されている患者様のため2,000円offの6,000円でご提供しました。通常価格は8,000円です)

※掲載された情報は治療の効果を保証するものではありません。
ご利用により万一何らかの損害が発生したとしても、当サイトは一切責任を負いかねますのでご了承ください。

PC・スマホでかんたんインターネット予約
三井アウトレットパークバス停徒歩5分 本院ご予約
高速出口すぐそばのショッピングモール内 大曲医院ご予約
札幌中心街、チカホから直結のmoyuk2F moyuk Sapporo院ご予約
オススメの関連記事