小児矯正 症例

10代女性「前歯同士が噛み合っていて将来が不安」舌と顎の正常な発育をサポートするマウスピースと歯列の横幅を広げる矯正を行い、正常な歯並びに改善した症例

ご相談内容

「前歯同士が噛み合っていて将来の歯並びが不安」とご相談いただきました。

カウンセリング・診断結果

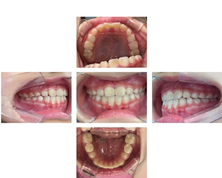
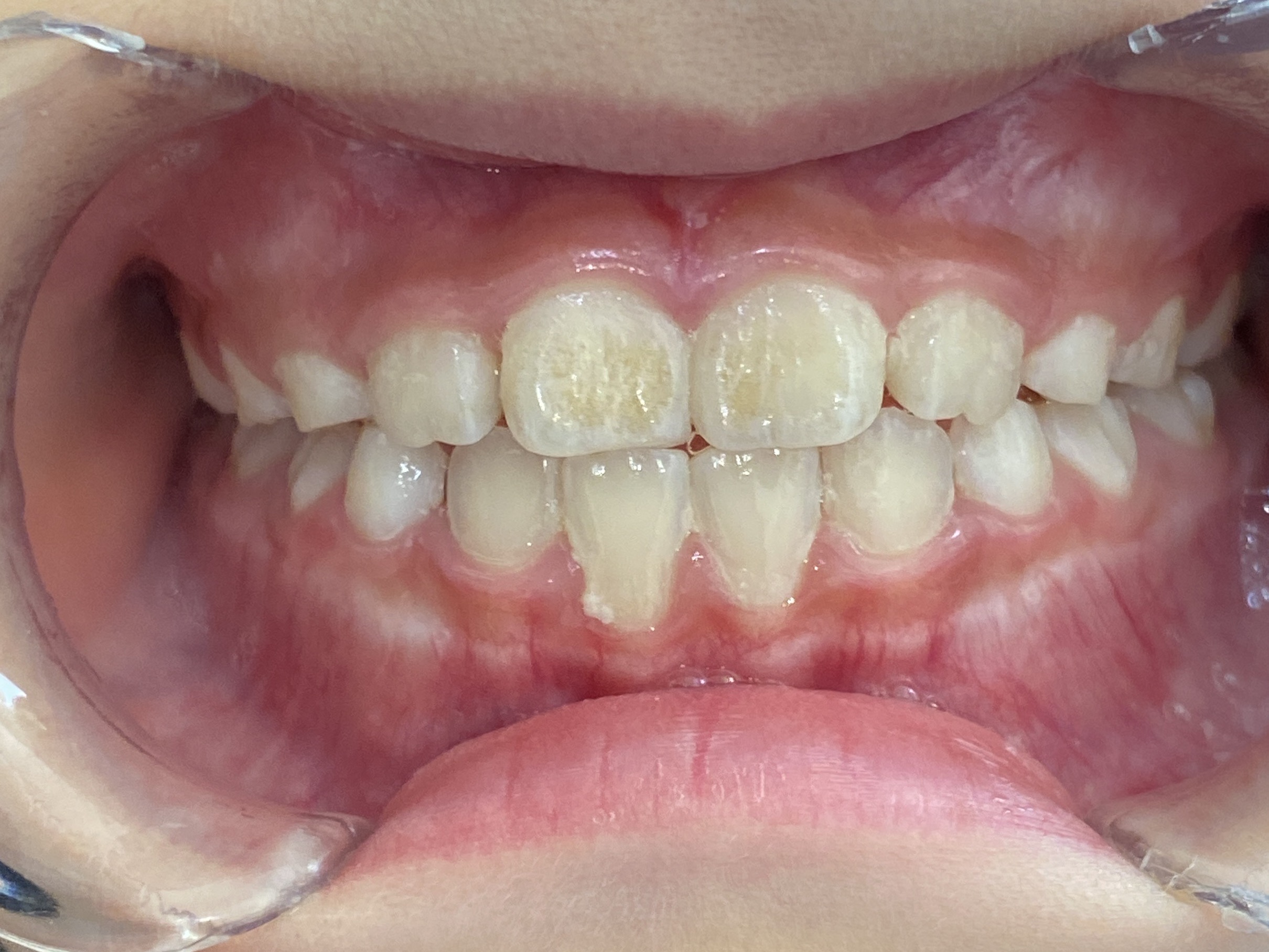
拝見すると、上下の前歯同士が噛み合っている「切端咬合(せったんこうごう)」と、前歯から奥歯までの歯並びが狭くなっている「歯列弓の狭窄(しれつきゅうのきょうさく)」の状態でした。そのため、将来ガタガタの歯並び「叢生(そうせい)」になることが予想できました。

行ったご提案・治療内容

切端咬合は放置しておくと、下顎の成長により下の前歯が上の前歯よりに前に出てしまう噛み合わせ「反対咬合」になってしまうおそれがあります。
そのため舌と顎の正常な発育をサポートし、口周りの筋肉を鍛え悪い癖を改善させる取り外し可能なマウスピース「マイオブレース」を使用していただき、正常な上下前歯の噛み合わせになるようにしました。
その後歯並びを横に広げる「床矯正」で叢生の改善を試み、歯の生え変わりの時期と重なったため永久歯がきれいに並ぶようにしっかりと観察して治療を進めていきました。

術後の経過・現在のご様子

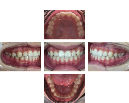
とてもきれいな歯並びになり、お母様もご本人様も大変満足されていました。
現在は歯並びをキープさせる「保定期間」に入っており、永久歯が完全に生え揃うまで今後は経過を見ていきます。

この治療のリスクについて

・ 決められたスケジュールを守らないと、十分な効果が得られない場合があります
・マウスピースでは対応していない症例の場合、治療が困難な可能性もあります
・治療による歯の移動に伴って、痛みや違和感を感じる場合があります
・他の矯正治療と同様に、正しく歯磨きやメンテナンスを行わないと虫歯や歯周病のリスクが高まります

  1. 年齢・性別10代女性
  2. 診療種別自由診療
    1. 治療期間の目安3年半(床矯正とマイオブレースを含め)

      治療費総額の目安210,000円
    2. 《内訳》
    3. 床矯正治療費120,000円
    4. マイオブレース代60,000円
    5. 検査代30,000円
    6. 経過管理料×21回

※掲載された情報は治療の効果を保証するものではありません。
ご利用により万一何らかの損害が発生したとしても、当サイトは一切責任を負いかねますのでご了承ください。

PC・スマホでかんたんインターネット予約
三井アウトレットパークバス停徒歩5分 本院ご予約
高速出口すぐそばのショッピングモール内 大曲医院ご予約
札幌中心街、チカホから直結のmoyuk2F moyuk Sapporo院ご予約
オススメの関連記事