ホワイトニング 症例

50代女性「歯を白くして少しでも若く見られたい」ご自宅で行う「ホームホワイトニング」と、歯科医院で行う「オフィスホワイトニング」を併用して歯の色を明るくした症例

ご相談内容

「歯を白くして少しでも若く見られたい」とご相談いただきました。

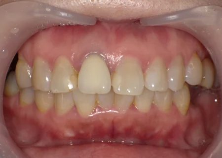
カウンセリング・診断結果

拝見したところ、全体的に歯の表面が黄ばんでいる状態でした。

患者様に詳しくお伺いしたところ「接客業をしていて周りに若い子が多い。お客様からの視線を気にしたくない」とお話しいただきました。

行ったご提案・治療内容

ご自宅で専用のマウスピースとジェルを使用して行っていただく「ホームホワイトニング」と、歯科医院で薬剤を使用して歯を白くする「オフィスホワイトニング」を併用する治療をご提案しました。

2種類のホワイトニングを組み合わせることで、より早く効果が実感できると共に歯の白さが長持ちすることをご説明し、患者様に同意していただきました。

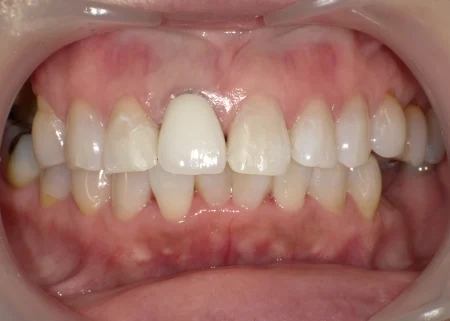
術後の経過・現在のご様子

歯の白さが、上の歯は8段階、下の歯は10段階明るくなり、美しく若々しい見た目になりました。
患者様にも「歯が白くなって自分に自信が持てるようになった」と大変ご満足いただきました。
現在は定期的なメンテナンスでご来院いただいております。

この治療のリスクについて

個人差がありますが、治療中や治療後に歯がしみる場合があります。

  1. 年齢・性別50代女性
  2. 診療種別自由診療
    1. 治療期間の目安2か月半

      治療費総額の目安98,000円

※掲載された情報は治療の効果を保証するものではありません。
ご利用により万一何らかの損害が発生したとしても、当サイトは一切責任を負いかねますのでご了承ください。

PC・スマホでかんたんインターネット予約
三井アウトレットパークバス停徒歩5分 本院ご予約
高速出口すぐそばのショッピングモール内 大曲医院ご予約
札幌中心街、チカホから直結のmoyuk2F moyuk Sapporo院ご予約
オススメの関連記事