
20代女性「歯の色も白くしたい」マウスピース矯正中に、全体的に黄ばんでいた歯を薬剤を使用して白くする「ホワイトニング」できれいにした症例


ご相談内容
マウスピース装置で歯並びを整える「マウスピース矯正」を行っている患者様で、「今後歯並びがよくなるのであれば、歯の色も白くした方がいいのではないか」とカウンセリングを受けにご来院されました。
カウンセリング・診断結果
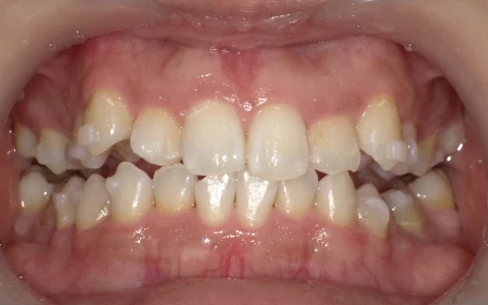
拝見したところ、全体的に歯の黄ばみが見られました。
行ったご提案・治療内容
歯科医院で薬剤を使用して歯を白くする「オフィスホワイトニング」と、ご自宅で専用のマウスピースとジェルを使用していただき歯の白さを長持ちさせる「ホームホワイトニング」を併用するとともに、歯の表面の汚れを落として薬剤を浸透させやすくするクリーニングを行う治療をご提案し、同意いただきました。
ホワイトニングのプランについては、ご希望に応じてホワイトニングを追加で受けることができる「ホワイトニングエスコートコース」をご提案し、患者様にご満足していただける白さを目指しました。
術後の経過・現在のご様子
元の歯の白さと比較して、上の歯は7段階、下の歯は9段階明るくなりました。
患者様にも大変ご満足いただいており、「歯が白くなったことが自分でも実感できて嬉しい!」とお喜びのご感想もいただきました。
この治療のリスクについて
個人差がありますが、治療中や治療後に歯がしみる場合があります。
- 年齢・性別20代女性
- 診療種別自由診療
- 治療期間の目安1年未満
治療費総額の目安98,000円
- 治療期間の目安1年未満
※掲載された情報は治療の効果を保証するものではありません。
ご利用により万一何らかの損害が発生したとしても、当サイトは一切責任を負いかねますのでご了承ください。








