
10代女性「前歯が内側に引っ込んでいるのと八重歯が気になる」マウスピース型の矯正装置「インビザラインフル」を使用し、スペースを確保して歯並びを整えた症例


ご相談内容
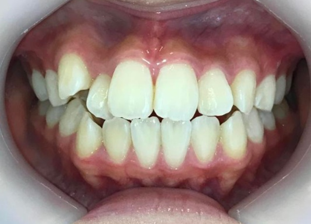
「前歯がガタガタしていてかみ合っていない。特に、前歯が1本内側に引っ込んでいるのと、八重歯が気になる」とご相談いただきました。
カウンセリング・診断結果
拝見したところ、歯が並ぶスペースが不足していることが原因で右上の前歯(側切歯/2番)が内側に入り込み、下の歯が部分的に上の歯に被さっている「交叉咬合(こうさこうごう)」になっていました。
また、その隣の歯(犬歯/3番)は正常な位置よりも外側にずれて生えており、全体的に歯がねじれたり傾いたりしていて歯並びがガタガタしている「叢生(そうせい)」でした。
そのため、前歯のかみ合わせが悪くなっており、奥歯とあごの関節に負担がかかっていました。
行ったご提案・治療内容
マウスピース型の矯正装置「インビザラインフル」を使用しスペースを確保して、前歯を中心に全体的に歯並びを整える治療をご提案しました。
ワイヤー装置を使用する矯正も選択肢にありましたが、患者様は運動系の部活動をされており、運動中にワイヤーが当たって口の中を傷つけるおそれがあったため、プラスチック素材のインビザラインフルをおすすめしたところ、ご了承いただきました。
患者様の歯並びやかみ合わせをレントゲンなどで詳しく検査した後に治療計画を立て、より短期間で効率的に歯の移動ができるようマウスピースの設計を工夫しました。
術後の経過・現在のご様子
奥に入り込んでいた前歯や外側に飛び出ていた歯がまっすぐに並び、全体の歯並びも整いました。
かみ合わせも改善されて前歯でしっかりかめるようになり、奥歯とあごの関節への負担が軽減されました。
患者様も部活動に支障なく治療ができたことに非常にご満足され、「歯並びが気にならなくなった」と笑顔が増え、お喜びいただけました。
この治療のリスクについて
・決められたアライナーの装着時間を守らないと、次のアライナーに交換できず、治療が遅れたり十分な効果が得られない場合があります。
・歯を抜いた後に矯正する場合や、あごの骨格に問題がある場合など、マウスピース矯正に対応していない症例は、治療が困難な可能性もあります。
・治療による歯の移動に伴って、痛みや違和感を感じる場合があります。
・他の矯正治療と同様に、正しく歯磨きやメンテナンスを行わないと虫歯や歯周病のリスクが高まります。
- 年齢・性別10代女性
- 診療種別自由診療
- 治療期間の目安1年10ヶ月
治療費総額の目安650,000円
<内訳>
インビザライン治療費580,000円
検査代30,000円
矯正経過管理料5,000円×8回
- 治療期間の目安1年10ヶ月


※掲載された情報は治療の効果を保証するものではありません。
ご利用により万一何らかの損害が発生したとしても、当サイトは一切責任を負いかねますのでご了承ください。








