
30代女性「前歯が内側に入りガタガタしているのが気になる」治療中も目立ちにくいマウスピース型の矯正装置「インビザラインフル」を使用して歯並びを整えた症例


ご相談内容
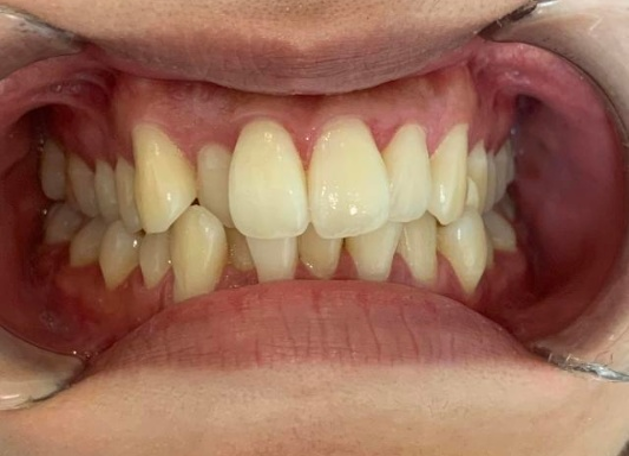
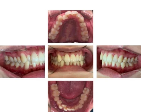
「ガタガタに並んでいる前歯が気になる。特に真ん中の歯の隣の歯が内側に入っている」とご相談いただきました。
カウンセリング・診断結果
拝見したところ、歯が並ぶスペースが不足しているために歯並びがガタガタになっている「叢生(そうせい)」でした。
特に右上の前歯(側切歯/2番)が内側に大きく入り込んで、上の歯より下の歯が部分的に前に出ている「クロスバイト」になっており、前歯のかみ合わせが悪く奥歯やあごの関節に負担がかかっていました。
患者様はTV関係のお仕事をされており「治療期間中も見た目を気にせず過ごしたい」とご希望でした。
行ったご提案・治療内容
マウスピース型の矯正装置「インビザラインフル」で歯が並ぶスペースを確保し、歯並びを整える治療をご提案しました。
インビザラインフルは、患者様に合わせて作製した透明なマウスピースを一定時間付けていただく治療法なので、目立ちにくく、必要なときはご自身で取り外しができる点が患者様のご希望に沿っていることをご説明し、ご了承いただきました。
前歯の歯並びを整えることはもちろん、かみ合わせも正常になるよう慎重に経過を見ながら治療を進めました。
術後の経過・現在のご様子
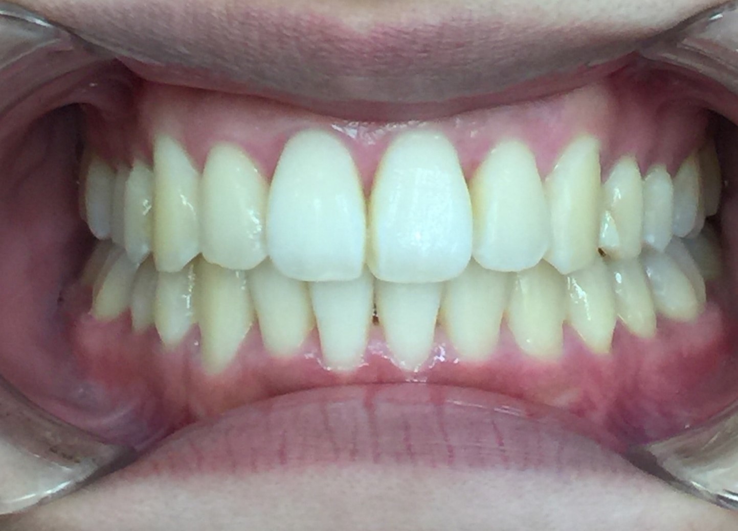
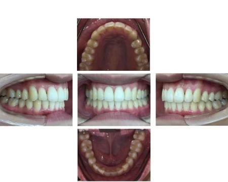
内側に入っていた前歯がきれいにまっすぐ並び、奥歯と前歯でバランスよくかめるようになって奥歯やあごの関節への負担も軽減しました。
美しい歯並びに、患者様にも大変ご満足いただけました。
現在は、歯並びが後戻りしないようにするための「保定装置」を使用していただいています。
この治療のリスクについて
・決められたアライナーの装着時間を守らないと、次のアライナーに交換できず、治療が遅れたり十分な効果が得られない場合があります。
・歯を抜いた後に矯正する場合や、あごの骨格に問題がある場合など、マウスピース矯正に対応していない症例は、治療が困難な可能性もあります。
・治療による歯の移動に伴って、痛みや違和感を感じる場合があります。
・他の矯正治療と同様に、正しく歯磨きやメンテナンスを行わないと虫歯や歯周病のリスクが高まります。
- 年齢・性別30代女性
- 診療種別自由診療
- 治療期間の目安1年8ヶ月
治療費総額の目安695,000円
<内訳>
インビザライン治療費580,000円
検査代30,000円
矯正経過管理料5,000円×11回
保定装置代:30,000円


※掲載された情報は治療の効果を保証するものではありません。
ご利用により万一何らかの損害が発生したとしても、当サイトは一切責任を負いかねますのでご了承ください。








