
20代女性「オンライン授業中に映る自分の口元が気になる」歯が重なり合ってデコボコしている歯並びをマウスピース型矯正「インビサラインフル」により歯を抜かずきれいに整えた症例


ご相談内容
「コロナ禍によりオンライン授業を受ける際、歯並びが悪い口元が画面に映るのが気になる」とご相談をいただきました。
カウンセリング・診断結果
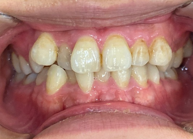
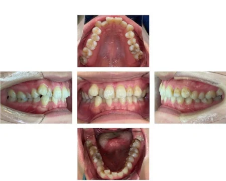
拝見したところ、上下の前歯ともに、歯が重なり合ってデコボコした状態の「叢生(そうせい)」でした。
前歯以外、奥歯にかけて(臼歯部/4番以降)は正常な歯並びでした。
行ったご提案・治療内容
遠方からご来院される患者様でしたので、
・治療回数が少なくて済む
・製作できるマウスピースが無制限のため、上下前歯のデコボコが大きい場合に適している
という理由から、マウスピース型矯正「インビザラインフル」をご提案しました。
また、遠方の患者様に対して抜歯をともなう矯正治療を行った場合、トラブルがあったときにすぐにご来院いただけなかったり、治療回数も増えたりする可能性があるため、歯を抜かない矯正治療で進めました。
術後の経過・現在のご様子
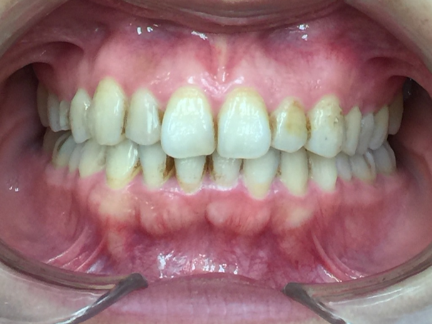
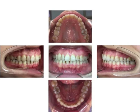
上下前歯が正しい位置に並び、きれいに整いました。
患者様も、以前は笑うときに口元を隠すなど気にしておられましたが、現在は笑顔でお話しされるようになりました。
この治療のリスクについて
・決められたアライナーの装着時間を守らないと、次のアライナーに交換できず、治療が遅れたり十分な効果が得られない場合があります。
・歯を抜いた後に矯正する場合や、あごの骨格に問題がある場合など、マウスピース矯正に対応していない症例は、治療が困難な可能性もあります。
・治療による歯の移動に伴って、痛みや違和感を感じる場合があります。
・他の矯正治療と同様に、正しく歯磨きやメンテナンスを行わないと虫歯や歯周病のリスクが高まります。
- 年齢・性別20代女性
- 診療種別自由診療
- 治療期間の目安1年9ヶ月
治療費総額の目安665,000円
<内訳>
インビザライン治療費580,000円
検査代30,000円
矯正経過管理料5,000円×11回


※掲載された情報は治療の効果を保証するものではありません。
ご利用により万一何らかの損害が発生したとしても、当サイトは一切責任を負いかねますのでご了承ください。








