
10代女性「八重歯と上下の前⻭中央がずれていることが気になり笑えない」抜歯とインビザラインフルで矯正して、歯並びが良くなり素敵な笑顔になった症例


ご相談内容
「八重歯と上下前⻭中央の⻭がずれていて気になる。ピアノの発表会があるのに人前で笑えない」とご相談がありました。
カウンセリング・診断結果
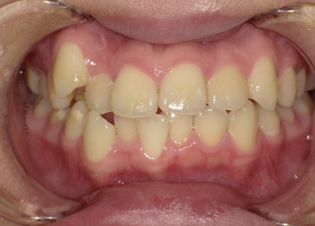
拝見させていただくと、右上の犬歯(3番)が隣の歯と重なって生えている「八重歯」でした。
また、前歯(中切歯/1番)を噛み合わせた時に上の歯と下の歯の真ん中である「正中(せいちゅう)」が不一致で、歯並びが悪くガタガタな「叢生(そうせい)」の状態でした。
行ったご提案・治療内容
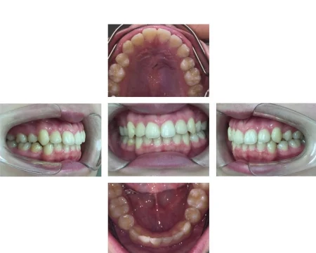
治療開始時はまだ小学生という10代前半の年齢で、12歳臼歯(第2大臼歯/7番)が完全に生えていなかったため、すべての歯が生え揃った時には追加のマウスピース「アライナー」を作製して治療を進めることが必要でした。
そのため今後の成長量を考えて、犬歯の隣の歯(第1小臼歯/4番)を上下左右4本抜いてから、製作できるアライナーの枚数が無制限で上下全体の矯正に適していマウスピース型の矯正「インビザラインフル」をご提案しました。
術後の経過・現在のご様子
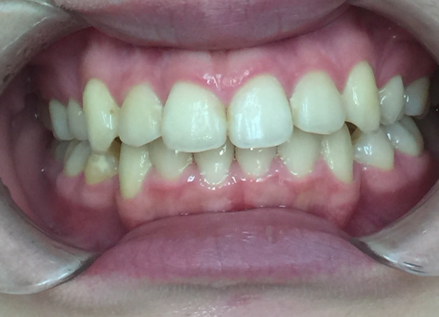
八重歯がなくなり上下前歯の正中も一致したため、歯並びが美しく整いました。
患者様もとても素敵な笑顔で笑ってくれるようになっています。
この治療のリスクについて
・決められたアライナーの装着時間を守らないと、次のアライナーに交換できず、治療が遅れたり十分な効果が得られない場合があります。
・歯を抜いた後に矯正する場合や、あごの骨格に問題がある場合など、マウスピース矯正に対応していない症例は、治療が困難な可能性もあります。
・治療による歯の移動に伴って、痛みや違和感を感じる場合があります。
・他の矯正治療と同様に、正しく歯磨きやメンテナンスを行わないと虫歯や歯周病のリスクが高まります。
- 年齢・性別10代女性
- 診療種別自由診療
- 治療期間の目安2年3ヶ月
治療費総額の目安860,000円
<内訳>
インビザライン治療費750,000円
検査代30,000円
矯正経過管理料5,000円×12回
抜歯5,000円×4本
- 治療期間の目安2年3ヶ月


※掲載された情報は治療の効果を保証するものではありません。
ご利用により万一何らかの損害が発生したとしても、当サイトは一切責任を負いかねますのでご了承ください。








