
床矯正とは
床矯正とは
【今までの成長不足を補う治療】のことです。
悪い習慣を治して正しい習慣を身に付ける目的のマイオブレースに対して、
床矯正は悪い習慣によって引き起こされた成長不足を補う治療になります。
マイオブレースでの矯正後に成長不足が認められた場合、床矯正治療を行う場合があります。
症例

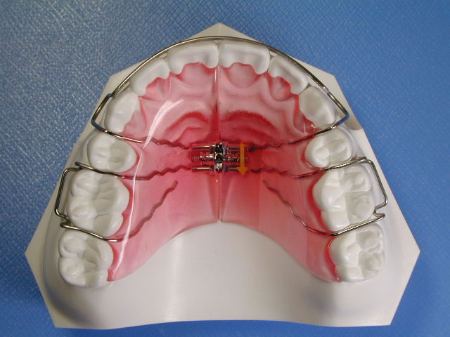
床矯正はこのような器具を装着しおこなっていきます。
お子様の歯並びの状態には個人差があり、全員が同じではありません。
そのため歯並びの状態によって器具の調整をしながら成長不足を補っていく必要があります。
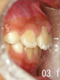
以下の症例は上顎前突(上の歯が前に突き出ている状態)のお子様の写真です。


治療前と比べて飛び出ていた前歯が下がり、前歯の角度が改善されているのが分かるかと思います。
お口の状態を確認しながら都度少しづつ装置を調整していくため、年単位での通院・装着が必要にはなりますが、来院毎に虫歯のチェックなど口腔内の状態確認もいたしますので、お口の健康管理ができる期間でもあります。


期間
矯正期間のおおよその目安は約1年~2年です。
勿論お子様の歯並びの状態によって違いはありますが、矯正期間のおおよその目安は約1年~2年です。
歯列の不足している量が5mm程度であれば1年程度、5mm以上であれば1年~2年程度になります。
お子様の歯並びは全員違うためどのように矯正治療を進めていくかは実際にお口の状態を診てからになります。歯並びに関するご相談はオンライン・来院共に無料で承っておりますので、お子様の歯並びで気になる点がございましたら一度ご連絡いただければと思います。








